Биоматериалы, пародонтология и регенерация
22 ноября в клубе «Робусто» прошло очередное заседание Междисциплинарного Стоматологического Клуба. Огромное спасибо всем, кто принял участие. На мой взгляд, подобные полукулуарные встречи нередко имеют большую информационно-познавательную ценность, нежели официальные курсы и семинары. В общем, друзья, здорово посидели и классно побеседовали.
Следующее заседание состоится во второй половине декабря, посвящено оно будет ортодонтии, исправлению прикуса и его роли в комплексном лечении стоматологическом лечении. Следите за новостями!
Друзья, а сегодня я хотел бы поговорить с вами о пародонтологии, использованию биоматериалов в пародонтологическом лечении и, на примере одной своей пациентки, показать, как эти материалы работают.
Биоматериалы.
Про биоматериалы, в целом, и Mucograft, в частности, в блоге и на сайте написано довольно много. Повторяться не вижу смысла, остановлюсь лишь на наиболее важных, на мой взгляд, моментах:
- Использование биоматериалов, будь то наполнителей (порошки или гели), мембран или матриц, ставит целью создание условий для регенерации собственных тканей организма. Другими словами, они не превращаются сами в кость или слизистую оболочку, а лишь способствуют росту собственных клеток организма.
- Ничего суперчудодейственного в биоматериалах нет. Все они, более-менее, похожи, принцип действия одинаков, а отличаются между собой только удобством работы и физико-химическими свойствами.
- Использование биоматериалов (в особенности, наполнителей) в потенциально инфицированных областях (для аугментации лунки зуба, заполнении полостей при цистэктомии или костных карманов в пародонтологии) сопряжено с высоким риском неудачи. Связано это с тем, что любой биоматериал легко и быстро инфицируется, становясь субстратом и рассадником для микробов. Ведь в нем нет защитных клеток.
- Наиболее важный пункт в успешной работе с биоматериалами — качество швов слизистой. Если швы негерметичны — происходит инфицирование материала и утрата планируемого объема.
Mucograft

Многие ошибочно называют этот материал мембраной, на самом же деле он является коллагеновой матрицей. Разница в том, что мембрана нужна для отделения одного вида тканей от другого, в то время как матрица сама по себе является субстратом для роста ткани.
Иными словами, Mucograft можно рассматривать как тот же Bioss, только для слизистой оболочки.
Для себя я выработал несколько правил для работы с данным материалом:
- Mucograft можно использовать как в открытых методиках, так и в закрытых.
- Хотя в инструкции говорится, что материалом могут быть закрыты открытые и лишенные периоста участки костной ткани, все же лучше использовать его на соединительнотканной подложке. Например, поверх надкостницы.
- Фиксировать Mucograft лучше всего с помощью нерезорбируемого шовного материала. Хотя, мной разработана и успешно опробована фиксация материала с помощью металлических пинов.
- Если мы говорим о рецессиях десны, то нельзя использовать Mucograft «в открытую», без перемещенного слизистотканного лоскута.
Вот пример использования данного материала при вестибулопластике — одной из наиболее частых пародонтологических операций.
Пациентка, чуть больше 25 лет, готовится к ортодонтическому лечению. Одна из проблем, которую необходимо решить до начала ортодонтии — мелкое преддверие полости рта. Для этого необходима вестибулопластика (углубление преддверия).
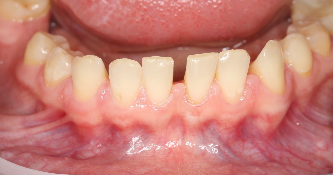
В норме расстояние от нижней границы межзубного сосочка до переходной складки (места перехода прикрепленной десны в подвижную слизистую) составляет 5-7 мм, это и считается глубиной преддверия. В данном случае мы имеем менее 4 мм:
Подобная клиническая ситуация чревата, в первую очередь, риском возникновения рецессий десны и развития пародонтита, который нередко приводит к потере зубов.
Пародонтология.
В общем, нужно делать вестибулопластику. Но каким образом?
Существует множество способов проведения данной операции. Некоторые подразумевают использование свободного слизистотканного лоскута, другие возможно проводить без аутотрансплантации тканей.
В первых методиках использование слизистотканного лоскута (графта) предполагает, что его откуда-то нужно взять (дополнительная рана). Во вторых методиках предполагается весьма болезненный послеоперационный период (открытая рана же) и опасность рубцового стяжения раны. Последнее — очень неприятная штука, может существенно ухудшить и без того непростую изначальную клиническую ситуацию.
Именно поэтому в современной пародонтологии стараются, по возможности, избежать открытых ран и вторичного натяжения во всех случаях, где планируется аументация мягких тканей, используется либо перемещение лоскутов, либо их свободная пересадка (аутотрансплантация).
Итак, приступаем к операции:
Анестезия. Обычная инфильтрационная. Можно сделать ментальную анестезию с двух сторон — и это даже удобнее, поскольку ткани в области операции не раздуваются и не меняют форму и положение.
Разрез в преддверии полости рта, на 1-2 мм ниже переходной складки:
Тупым способом отслаиваются мягкие ткани до надкостницы. Ее очень легко определить — она, в отличие от других слоев, она неподвижно прикреплена к кости. Таким образом, создается ложе под матрицу Mucograft:
Следует учесть, что в процессе рубцевания рана немного стянется.
Поэтому, отслойка и сепарация тканей делается с небольшим запасом.
Теперь берем коллагеновую матрицу, примеряем ее:
Матрица Mucograft имеет два слоя: наружный плотный и внутренний более рыхлый. Так вот, материал фиксируется швами за наружный плотный слой. В данном случае, я использовал нерезорбируемый шовный материал Prolene 6-0 в верхнем участке раны и Vicrlyl 6-0 — в нижнем:
Вообще, лучше везде фиксировать нерезорбируемым шовным материалом. Просто снятие швов в области будущей переходной складки представляет известные сложности (врастают), и я решил облегчить жизнь пациентке и себе. Но делать так постоянно не рекомендую — использование резорбируемых плетеных шовных материалов, особенно в условиях некачественной гигиены, может привести к образованию лигатурных свищей.
Матрица фиксируется, в первую очередь, к надкостнице, потом тем же вколом подцепляется слизистая оболочка. Получаются вот такие стежки:
Это как раз тот наглядный пример, где показана вся суть хирургии — мы больше шьем, чем режем.))
Операция закончена:
Пара слов об обработке раны после операции. Некоторые доктора обрабатывают послеоперационную рану Солкосерилом или гелем «Метрогил Дента». Этого делать не рекомендуется хотя бы потому, что в инструкции к данным препаратам написано: «Не наносить на кровоточащие и открытые раны». Ну и, на круглом столе мы обсуждали применение мазей поверх Мукографта, сошлись во мнении, что делать этого не нужно.
По этим же причинам не рекомендуется использовать столь любимый пародонтологами Диплен.
В послеоперационном периоде особое внимание стоит уделить витаминотерапии. В частности, необходимо назначение витамина С. Он назначается в больших, нежели обычно, дозировках — до 1 г в сутки.
Регенерация.
Не зря сказал про витамин C. Он принимает активную роль в синтезе коллагеновых волокон, которые, в свою очередь, являются основой соединительной ткани.
Назначаем осмотр через день. Вот нормальная картинка после подобной операции:
После операции Мукографт пропитался кровью, которая свернулась и осталась в нем, образовав сверху пока тонкую фибриновую пленку. Это еще не слизистая оболочка, а та же матрица, удерживающая «в себе» кровяной сгусток. То есть, своего рода, такой же спейсер, как и Bioss.
При этом, несмотря на масштаб операционной раны, пациентку почти (кроме небольших синяков) ничто не беспокоит. Боли и отека нет.
Фотография через 4 дня после операции:
Фибриновый налет становится толще, из-за чего рана принимает характерный вид. Многие пациенты путают его с гноем, пугаются и пытаются счистить. Конечно же, делать этого нельзя. Фибриновая пленка это, своего рода, защитная повязка, которая предохраняет регенерирующие ткани от внешних воздействий.
Вот на этом этапе, если не используется аутографты слизистой или коллагеновые матрицы, может начаться рубцовое стяжение раны. В том-то и смысл использования Мукографта в операции вестибулопластики — избежать рубцового стяжения раны.
Фотография через неделю после операции:
Фибриновый налет почти полностью усчез. И… что мы видим?
А вот что:
Это область 41-42 зубов под доступным макрообъективу увеличением. Красные полоски в центре — это рост и формирование сосудов в новообразованной слизистой оболочке.
Уже на данном этапе мы приблизительно видим будущие границы новообразованной прикрепленной десны. Конечно, они немного изменятся за счет рубцов, но незначительно.
Швы снимаем на 10-12 день. Нижние швы, по-хорошему, тоже нужно снять, но необязательно.
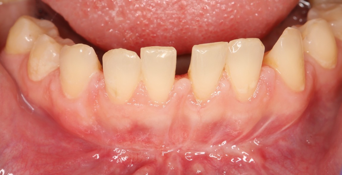
Фотография, примерно через месяц после операции:
Сравните с тем, что было:
Со временем, рубцы размягчатся и станут почти незаметными. Теперь пациентка может спокойно приступать к исправлению прикуса, которое, в свою очередь, является частью еще более грандиозного плана стоматологического лечения: предстоит еще и имплантация, и протезирование, и много чего еще.
Готов ответить на вопросы и разъяснить непонятные моменты в комментариях.
Спасибо за внимание.
С уважением, Станислав Васильев.


























Комментарии
Пока нет комментариев.