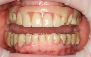
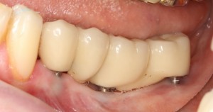
Базальная имплантация, как она есть.

eskort mersin - eskort adana