сделано в CLINIC IN: РЕСТАВРАЦИЯ РЕЗЦОВ ВЕРХНЕЙ ЧЕЛЮСТИ
Даже один клинический случай может многому научить. Если клинических случаев много, да еще с долгосрочными результатами, то они в полной мере способны отразить как суть методики, так и философию нашей работы. У нас не принято что-то скрывать, но мы решили пойти еще дальше — в новой рубрике «сделано в CLINIС IN» мы подробно расскажем о решении конкретных клинических задач. Однако, предупреждаем заранее — если от вида крови вас тошнит, а от фотографии удалённого зуба вы падаете в обморок — лучше перейти сюда и успокоиться, — эта рубрика точно не для вас. Мы по возможности будем разъяснять сложные медицинские термины или давать ссылки на наши статьи, чтобы вам было проще разобраться в теме. И, если по ходу статьи у вас появляются вопросы или вы считаете нужным вставить ремарку — добро пожаловать в комментарии. Кстати. http://clinicin.ru — редкий тип сайта стоматологической клиники, где можно комментировать с аккаунтом любой социальной сети. И получить компетентный ответ, тоже в комментариях.
Реставрация фронтальной группы зубов.
Имплантация — Станислав Васильев Протезирование — Давид Ахинян
Признаюсь, с такими клиническими ситуациями мы сталкиваемся нечасто. Хотя бы потому, что утрата зубов в области улыбки существенно снижает уровень социализации, и люди, способные «забить» на восстановление боковых жевательных зубов, изо всех сил стараются сохранить зубы передние в более-менее приемлемом виде.
Некоторое время назад мы подсчитали, что из 1000 установленных имплантатов всего 152 (немногим более 15%) используются для опоры протезов в эстетически значимой зоне:
А немедленное протезирование ( т. е., фиксация протеза или коронки на только что установленный имплантат) удаётся еще реже, несмотря на очевидные преимущества, хотя бы потому, что для его реализации необходимы следующие условия:
— идеальное позиционирование имплантата
— крутящий момент не менее 15 Нсм
— достаточный объём и конфигурация мягких тканей вокруг имплантата
— отсутствие проблем с прикусом
То есть, истории, типа, «зубы за один день» встречаются в нашей практике (и не только нашей) довольно редко. Другое дело, что они очень показательные, а потому их любят показывать в рекламе и инстаграмчиках.
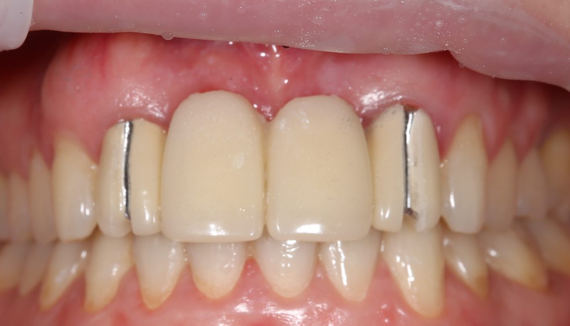
Пару лет назад к нам обратилась пациентка Татьяна. На момент обращения её было 24 года. Много лет назад, катаясь на коньках, она неудачно упала и сломала (или выбила?) два передних зуба.
Вместо реплантаций (что легко) и реставраций (что сложнее), её тогдашний стоматолог решил решил депульпировать и обточить два боковых резца и сделать мостовидный протез. С тех пор прошло много времени, протез несколько раз меняли, а зубы перелечивали. На момент обращения к нам, верхние резцы у Татьяны выглядели следующим образом:

Пациентку беспокоили дискомфорт в области протеза, небольшая подвижность и периодическое воспаление десны в области опорных зубов.
Мы делаем компьютерную томографию, что является базовым и необходимым исследованием в таких клинических ситуациях:

После чего, совместно со стоматологом-ортопедом, разбираем клинический случай:
Помимо стоматолога-ортопеда и имплантолога, в обсуждении и анализе клинической ситуации принимают участие стоматолог-терапевт и ортодонт:
Стоматолог-терапевт: «Перелечивание боковых резцов нецелесообразно по следующим причинам: опорные зубы до этого неоднократно перелечивались, каналы сильно расширены, имеет место быть выраженная резорбция корней. Даже если нам удастся распломбировать, обработать и вылечить периапикальное воспаление, то стоимость такого лечения будет несоизмерима результату, к тому же мы не сможем дать никаких гарантий на проведённую работу».
Стоматолог-ортодонт: «Вследствие столь ранней (в возрасте 15-ти лет) потери зубов у пациентки, очевидно, есть патология прикуса. Однако, она компенсирована и не критична для функционирования зубочелюстной системы. Единственным показанием к проведению ортодонтического лечения в данном случае будет пожелание Татьяны улучшить эстетику. Других показаний к ортодонтическому лечению нет.»
Привлечение этих специалистов мы считаем необходимым по следующим причинам: во-первых, несмотря на развитую имплантологию, мы в CLINIC IN всегда ставим целью максимальное сохранение зубов, во-вторых, любое последующее протезирование, с имплантатами или без, должно учитывать состояние прикуса, без этого невозможно гарантировать успешную, качественную и надёжную стоматологическую реабилитацию.
И, поскольку перелечивание зубов, равно как и ортодонтическое лечение исключаются, мы вместе со стоматологом-ортопедом Давидом Ахинян и пациенткой Татьяной принимаем решение об удалении боковых резцов и немедленной имплантации с одномоментным временным протезированием.
Но, для начала, изучим возможность проведения такого лечения. Вернёмся к компьютерной томографии и мягким тканям:
Пройдёмся по пунктам:
ДЕСНА: в области удаляемых и имплантируемых зубов всё в порядке: и ширина кератинизированного участка, сводят к минимуму риск каких-либо эстетических проблем в области будущей протетической конструкции. Однако, в области давно отсутствующих центральных зубов ширина прикреплённого участка десны резко уменьшается, что, в принципе не является большой проблемой. Однако, если мы хотим улучшить эстетику будущего протезирования, имеет смысл запланировать работу с десной в этой области.
АТРОФИЯ: Ранее, анализируя клиническую ситуацию, мы выявили небольшую атрофию костной ткани в области давно отсутствующих центральных резцов. Если бы мы решили имплантировать именно их, то, несомненно, были бы вынуждены проводить наращивание костной ткани. Поскольку наш план лечения выглядит немного иначе, мы ограничимся пластикой десны — это улучшит эстетический результат нашей работы.
12 зуб: Гранулёма — не помеха, мы удалим её вместе с зубов. Объёмов костной ткани достаточно для установки имплантата длиной 13-15 мм, при этом значительная его часть будет находиться в кости (а не в лунке), что обеспечит нам приемлемый для немедленного протезирования крутящий момент. Вестибулярная костная стенка в области 12 зуба сохранена, имеет достаточную толщину. И, тем не менее, нам стоит позаботиться об аугментации лунки во время имплантации.
22 зуб: Объёмы костной ткани позволяют установить имплантат длиной 11-13 мм, при этом обеспечить достаточный для немедленного протезирования крутящий момент. Вестибулярная стенка в области 22 зуба сохранена, но мы, скорее всего, будем проводить аугментацию лунки, чтобы не получилось так, как случилось с костью в области центральных зубов.
ИТОГО, ПЛАН ЛЕЧЕНИЯ:
— снятие мостовидного протеза, подготовка всего необходимого для временного протезирования на имплантатах 12, 22 зубов.
— удаление, установка имплантатов в области 12, 22 зубов, пластика десны в области резцов верхней челюсти, возможно — аугментация лунок 12, 22 зубов с помощью ксенографта.
— немедленное протезирование с опорой на установленные имплантаты 12, 22 зубов
— через 3-4 месяца — контрольный осмотр и постоянное протезирование керамическими коронками с винтовой фиксацией.
НЕОБХОДИМЫЕ МАТЕРИАЛЫ:
Выбирая имплантационную систему для этой работы, мы остановились на Xive (Dentsply Sirona Implants), руководствуясь следующими доводами:
— это одна из немногих имплантационных систем, созданных специально для немедленного протезирования
Возможно, нам потребуется Geistlich Bio-Oss Collagen, если вдруг мы решим аугментировать лунки удалённых зубов.
Также мы готовим обычный набор для пластики десны плюс инструменты для синуслифтинга.
ЭТАП 1. Снятие мостовидного протеза, изготовление временного с опорой на боковые резцы.
За день до операции Давид снимает мостовидный протез:

и еще раз убеждается в том, что мы приняли правильное решение заменить опорные зубы на имплантаты:

И действительно, даже при условии качественного лечения корневых каналов, то, что осталось от боковых резцов, вряд ли можно нормально протезировать.
Для того, чтобы Татьяна не осталась без зубов до и после операции, Давид заранее сделал для неё временный композитный протез. Потом, после удаления зубов, мы перенесём его на имплантаты:

ВАЖНО провести этот этап заранее, до операции, чтобы в последующем свести к минимуму любые неожиданности.
ЭТАП 2. Удаление зубов, имплантация, аугментация лунок, пластика десны
Мы проводим операцию под местной анестезией. Предполагаемая продолжительность — 30-45 мин.

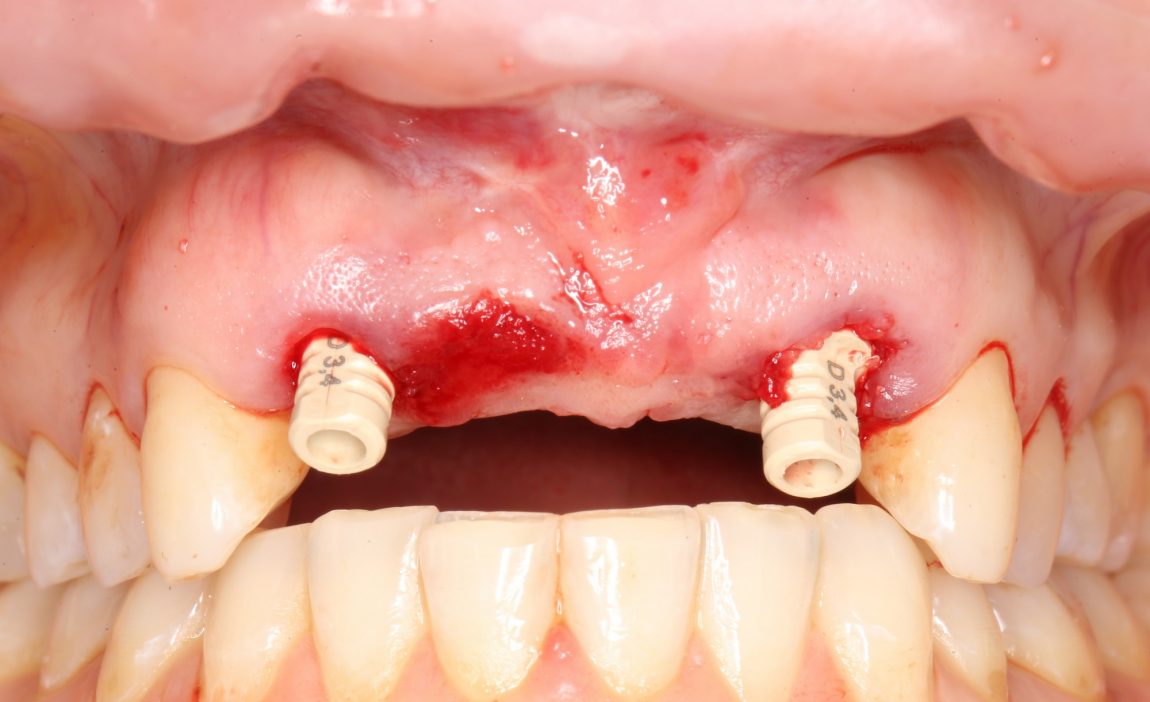
Начинаем с удаления зубов.

Прикорневые кисты и гранулёмы, как правило, спаяны с корнями зубов и удаляются вместе с ними. На всякий случай проводим кюретаж лунок.
Следующий шаг — подготовка ложа под соединительнотканный аутотрансплантат или, проще говоря — под пересадку десны. Мы решили минимизировать травму, поэтому будем создавать подслизистый тоннель:

Это довольно просто, хотя и требуется известная аккуратность. Мы используем обычные инструменты для синуслифтинга:

Вы уже догадались, что мы не планируем дополнительных разрезов — весь объём работы мы проведём через лунки зубов. Таким образом, мы снизим травматичность нашей операции и, как следствие, риск возможных осложнений.
Создание тоннеля в области центральных резцов занимает 10-15 минут. В последующем, мы проведём и зафиксируем в нём соединительнотканный аутотрансплантат, который создаст необходимый для эстетики объём мягких тканей:

Теперь мы можем оставить десну в покое и приступить к подготовке лунок под имплантаты.

Для этого вспоминаем правила позиционирования и подбора имплантатов.
С имплантационной системой Xive это очень просто сделать — в наборе есть аналоги имплантатов, поэтому мы готовим лунки последовательно, перекрёстно ориентируясь установленным аналогам. Напомню, мы планируем винтовую фиксацию будущего протеза, поэтому правильное положение имплантатов является критически важным для успешной реализации нашего плана:

О правильном позиционировании и подборе имплантатов можно почитать здесь>>, не видим смысла пускаться в подробности. На фото выше — правильное положение имплантатов (ну, или аналога и фрезы) в области боковых резцов.
В процессе подготовки лунки под имплантаты, мы обратили внимание на следующий момент: между финишным диаметром аналога имплантата (3.4 мм) и вестибулярной стенкой лунки удалённого резца остаётся пустое пространство. Маловероятно, что костная стенка такой толщины уйдёт в небытие, но у нас есть пример атрофии в области центральных резцов — там кость ушла. Поэтому мы приняли решение об аугментации лунок:

Для этого мы используем специфический ксенографт Bio-Oss Collagen, выпускаемый компанией Geistlich. Другое название, «впихнуть невпихуемое», является лучшей его характеристикой — с ним удобно работать в узких пространствах, где использование порошкообразных и гранулированных графтов затруднено.

Обратите внимание, что мы помещаем материал еще до установки имплантатов, а не после неё. Затем, упаковываем его с помощью аналога имплантата, входящего в набор Xive (при отсутствии таковых, можно использовать круглые остеотомы):

Теперь, когда пустое пространство заполнено:

можно установить имплантат. Напомню, мы выбрали Xive S диаметром 3.4 и длиной 13 мм:

Далее, мы повторяем все эти действия с лункой 12 зуба — аугментация с помощью Bio-Oss Collagen, паковка с помощью аналога имплантата, установка имплантата Xive 3.4х13 мм:

Важный момент — как понять, что лунка под имплантат подготовлена правильно? На самом деле, очень просто — в правильно подготовленную лунку имплантат проваливается без вращения больше, чем наполовину:

И это правило справедливо для большинства известных нам имплантационных систем. Его несоблюдение ведёт к перегрузке костной ткани и последующему периимплантиту.
Таким образом, мы устанавливаем оба имплантата:

Наш физиодиспенсер позволяет измерять крутящий момент при установке — у нас получилось среднее значение около 20 Нсм. Этого достаточно для немедленного протезирования.
Но прежде, чем мы к нему перейдём, еще раз проверим положение имплантатов:

Поскольку мы планируем в качестве временных использовать абатменты Esthetic Cap, необходимо правильно ориентировать имплантаты по граням внутреннего шестигранника. Это несложно сделать по имплантоводу (на нём есть насечки) или предустановленному абатменту TempBase.
Убедившись в том, что имплантаты стоят правильно, крутящий момент достаточный, мы переходим к следующему шагу — пластике десны.
Предустановленные абатменты TempBase будут мешать, поэтому заменим их на заглушки:

Тоннель-ложе для аутотрансплантата мы сделали заранее. Теперь нужно получить сам аутотрансплантат.
В качестве донорского участка мы выбираем отдел твёрдого нёба ближе к бугру верхней челюсти. Забор аутотрансплантата осуществляется методом расщепления:

При подходящих условиях и правильной реализации, это довольно комфортная для пациента методика получения аутотрансплантатов. При этом, они просты в обработке и почти деэпителизированы — нужно снять лишь тонкий слой эпителия «с торца» трансплантата:

Теперь нам нужно провести и зафиксировать его в тоннеле между лунками удалённых зубов. Для проводки мы решили использовать ортодонтическую проволоку. Как показала практика, это очень удобно и легко.
Суть такова. Сначала мы проводим проволоку через тоннель:

Затем прокалываем ей аутотрансплантат и проводим конец со стороны нанизанного трансплантата обратно:

Таким образом, можно легко и малотравматично «протащить» аутотрансплантат любого размера в сформированный тоннель любой длины:

Вот как изменилась конфигурация десны после проведённой пластики:

Мы не планируем как-то фиксировать пересаженный соединительнотканный лоскут — он отлично удерживается в тоннеле ригидностью тканей, потом еще прижмётся временным протезом. Проще говоря, мы обойдёмся без лишних швов.
Мы уже рассказывали вам, за что любим имплантационную систему Xive. За тефлоновые абатменты Esthetic Cap — особенно. Их конфигурация позволяет сохранить контур десны вокруг лунки и, самое главное — избежать попадания композита или цемента под десну.
Фиксируем Esthetic Cap на имплантаты. Усилие при установке — 14 Нсм (больше ключ Xive не позволяет):

Еще раз проверим позиционирование имплантатов:

Поскольку трансгингивальная часть временного абатмента Esthetic Cap полностью перекрывает апертуру лунки зуба, мы можем обойтись без швов. Вообще без швов.
Теперь нужно сделать контрольные снимки, чтобы убедиться, что абатменты сели на платформу имплантата. В нашем случае, абатменты пришлось подточить:

И, если всё в порядке, мы передаём пациента стоматологу-ортопеду Давиду Ахинян для временного протезирования.
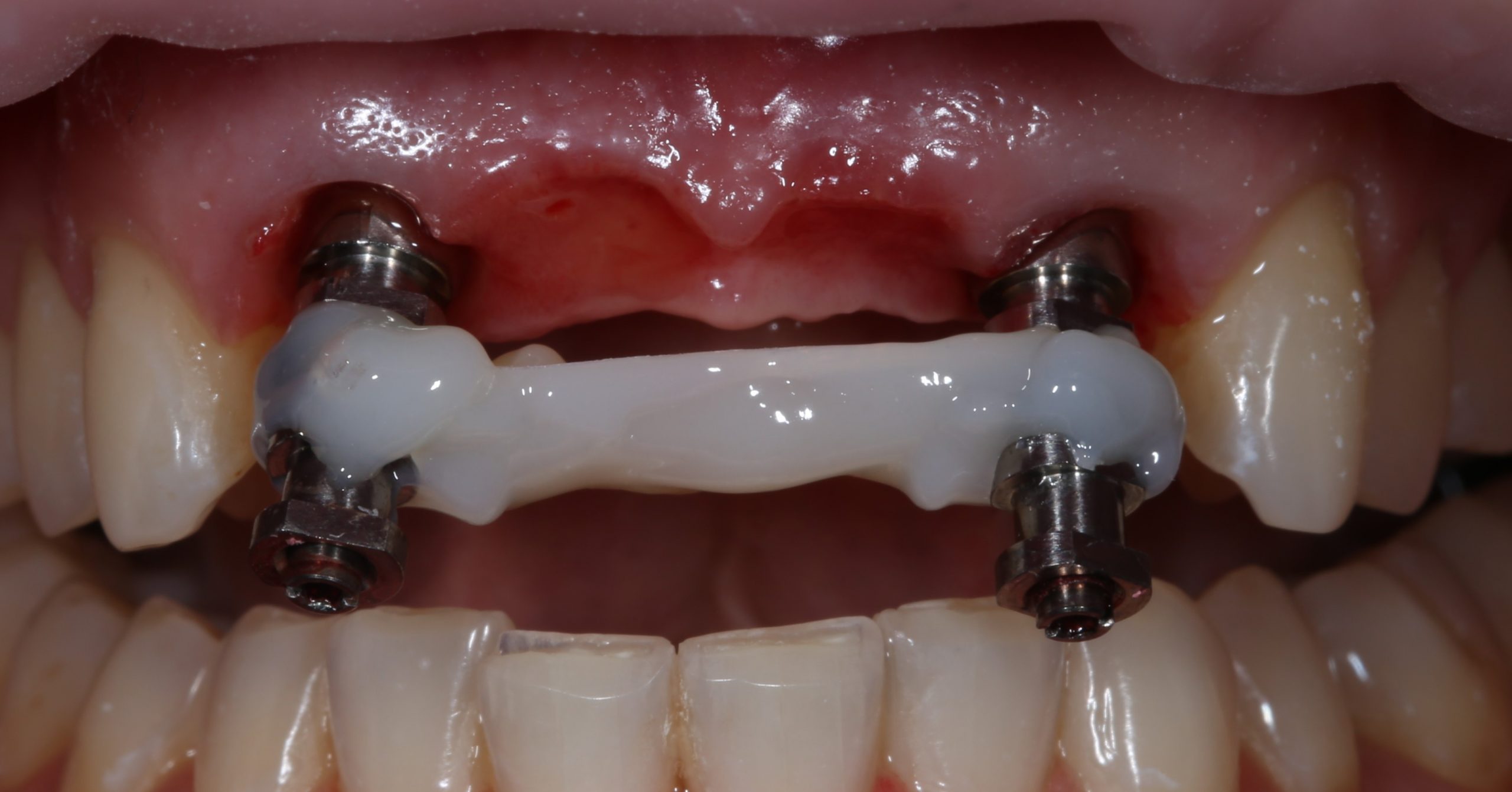
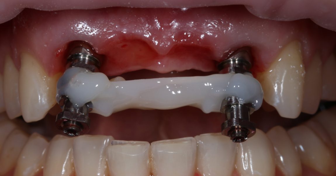
ЭТАП 3. Временное протезирование с опорой на только что установленные имплантаты.
Напомним, что еще до операции мы сделали временный протез с опорой на боковые резцы:

Всё, что нужно сейчас сделать Давиду — это приклеить почти готовый протез к абатментам. Что он и делает в течение 30-40 минут:

Как уже упоминалось выше, пересаженный соединительнотканный лоскут прижимается временными коронками центральных резцов, а потому не нуждается в дополнительной фиксации швами.
Итого, через полтора часа после удаления, фронтальная группа зубов Татьяны выглядит следующим образом:

Мы делаем еще один контрольный снимок, чтобы убедиться, в правильной посадке протеза:

После чего даём рекомендации и отпускаем пациентку домой.
Следующий осмотр назначаем через день после операции.
ПОСЛЕОПЕРАЦИОННЫЕ НАЗНАЧЕНИЯ
О них можно почитать здесь>>, нет нужды повторяться. Обратим лишь внимание на то, что мы очень дифференцировано подходим к фармакотерапии в послеоперационном периоде, антибиотики назначаем по минимуму и отменяем при первой же возможности. а противовоспалительные препараты пациент принимает сам, по мере необходимости (боль — это повод принять что-то из противовоспалительного).
Также мы всегда предупреждаем, что изготовленный нами временный протез в течение ближайших 2-3 месяцев решает исключительно эстетические задачи, а потому кусаться передними зубами нельзя.
ЧЕРЕЗ ДЕНЬ ПОСЛЕ ОПЕРАЦИИ
В следующий раз мы встретились с Татьяной через день после операции. Её новые зубки выглядят следующим образом:

Никаких жалоб нет, есть незначительный отёк десны.
Мы отменяем антибактериальную терапию, оставляя только приём обезболивающих при необходимости.
Для нашего и Татьяниного спокойствия, мы назначили еще один осмотр через 4 дня.
ЧЕРЕЗ НЕДЕЛЮ ПОСЛЕ ОПЕРАЦИИ
Татьяна говорит, что уже забыла о том, что её делали. Она хорошо себя чувствует и улыбается:

Отёк десны практически прошёл, мы можем более-менее объективно посмотреть на результат нашей работы:

и вот с такого ракурса:

или с такого:

На наш взгляд, получилось неплохо. Главное, что Татьяна очень довольна — мы не «выдернули» её из обычного режима жизни, не оставили без зубов, заложив фундамент под будущее постоянное протезирование. Татьянина послеоперационная реабилитация проходила с минимумом каких-либо ограничений. Всё, что нам осталось сделать — это дождаться интеграции имплантатов и сделать постоянные коронки.
На остеоинтеграцию уходит, в среднем, 3 месяца.
ЭТАП 4. Постоянное протезирование
Через три месяца стоматолог-ортопед Давид Ахинян продолжает реабилитацию пациентки.
К этому моменту временный протез и область имплантации выглядят следующим образом:

А в боковых ракурсах как-то так:

Есть проблемы с гигиеной, но это обычная для временных протезов ситуация. Она никак не мешает нам продолжить работу по постоянному протезированию установленных имплантатов.
Снимем протез, посмотрим на состояние десны:

На имплантаты устанавливаем специальные трансферы, с их помощью переносим положение платформы в рабочую модель:

В таких случаях трансферы обычно склеивают между собой, чтобы зафиксировать их положение относительно друг друга. После чего снимают оттиски и передают их в зуботехническую лабораторию для дальнейшей работы.
ПРОМЕЖУТОЧНЫЕ КОРРЕКЦИИ
Думаем, что стоматологи-ортопеды нас поймут — сходу сдать пациенту протез в эстетически значимой зоне удаётся крайне редко. Намного чаще он требует неоднократной коррекции прежде, чем быть зафиксированным окончательно.
Во время коррекций подбирается и перебирается цвет зубов:

Стоит заметить, что сделать белоснежно-яркие унитазно-фаянсовые зубы очень просто (может быть, поэтому модно). Намного сложнее, сделать зубы естественными — такими, чтобы никто не догадался об их «искусственности».
Форма зубов подбирается по сложному алгоритму и тоже корректируется один или несколько раз:

И только после того, как всех всё устраивает, всем всё нравится (особенно Татьяне) — протез окончательно фиксируется. В нашем случае — просто привинчивается к имплантатам.
КОНТРОЛЬНЫЙ ОСМОТР ЧЕРЕЗ ДВА ГОДА
Вообще, необходимым условием гарантии в CLINIC IN (на имплантаты — пожизненно, на протез — 10 лет) являются хороший уровень гигиены полости рта и регулярные профилактические осмотры. Однако, пандемии и другие очень важные дела конкретно поменяли Татьянин образ жизни — в результате, Татьяна пришла к нам в гости только через полтора года после фиксации постоянного протеза.

Мы, конечно, её немного пожурили, ибо за гигиеной полости рта нужно следить. Не зря мы сделали профессиональную чистку зубов для наших пациентов недорогой — чтобы был повод и возможности соблюдать наши рекомендации.
С другой стороны, как можно журить девушку с такой очаровательной улыбкой?

Никак.))))
И это как раз то, за что мы любим свою работу.
Послесловие.
В итоге, весь процесс реставрации резцов верхней челюсти занял 4 месяца, от момента снятия старого мостовидного протеза до фиксации постоянного керамического с винтовой фиксацией к имплантатам. К сожалению, мы не можем озвучить вам финансовую сторону этого лечения, поскольку цены в нашей клинике недавно (точнее, в сентябре 2020 года) немного изменились. Поэтому, если вы столкнулись с чем-то подобным — лучше напишите нам или проходите в гости на консультацию — мы вам обязательно всё расскажем, покажем и, конечно же, поможем.
А если у вас остались какие-нибудь вопросы или ремарки — вы можете оставить их в комментариях под этой статьёй. Мы обязательно всем ответим, не только пациентам, но и докторам, которые, как известно, тоже читают наш сайт.
Спасибо вам, что дочитали всё до конца.
С уважением, Станислав Васильев, Давид Ахинян.

















Станислав, здравствуйте! Замечательная работа, особенно индивидуальный подход к каждой проблеме. Сам стараюсь так научиться))) Подскажите, если бы гранулема разрушила вестибулярную стенку, как бы вы поступили в этой ситуации — отслаивание лоскута, НКР, ССТ с последующей имплантацией или же все-таки рискнули сделать все в одну операцию? И опять же, применили бы немедленную нагрузку?