29 ноября состоялась лекция OneDrive.OneHole, посвященная немедленной имплантации и ее месту в стоматологической практике. Признаться, не ожидал такого интереса к этой теме. Поэтому я искренне признателен всем, кто принял участие в мероприятии и, надеюсь, мне еще удастся его повторить. А вам вообще лекция понравилась?
И сегодня я хотел поговорить с вами вот о чем.
На лекции мы с вами говорили о том, что, по сути, для немедленной имплантации нет ограничений, за исключением:
- случаев, когда немедленная имплантация не вписывается в общий план стоматологической реабилитации (например, предполагается ортодонтическое лечение)
- ситуаций, когда невозможно хоть как-то стабилизировать имплантат в лунке зуба после удаления.
- стадий обострения хронического воспалительного процесса.
Последнее весьма условно, ибо даже при наличии значительных по размеру кист и гранулем, свищевых ходов с гнойным отделяемым, метод немедленной имплантации вполне себе работает, при условии, что даже возникший из-за воспаления дефицит костной ткани не усложняет установку и позиционирование импланта, — и я это наглядно показал в своей лекции:
Кроме того, у меня есть примеры случаев, когда даже удаление зуба по острой боли не является препятствием для немедленной имплантации, хотя, я повторюсь, к таким случаям следует относиться очень и очень осторожно. И лучше отложить имплантацию до снятия острых воспалительных явлений.
* * *
Другими словами, немедленная имплантация возможна почти всегда. Сочетание немедленной имплантации с синуслифтингом или остеопластикой уже не является чем-то необычным, и это позволяет существенно расширить показания для использования этой имплантологической методики.
Вот немедленная имплантация с синуслифтингом:
а вот — с остеопластикой:
Однако, любая хирургическая операция должна рассматриваться, безусловно, с точки зрения снижения риска. Любое хирургическое вмешательство — это риск, который должен быть, как минимум, оправдан с точки зрения результата. И, если тот же результат достижим более простыми решениями, то они должны быть рассмотрены в первую очередь.
— не нужно усложнять. Что-то усложнить — это всегда очень просто. А вот упростить что-то сложное — не так легко, как кажется.
Для примера, давайте рассмотрим вот этот снимок:
Возможна ли имплантация в области левого верхнего премоляра? Вполне. Зуб и гранулему можно удалить, сделать синуслифтинг, вопрос со стабилизацией импланта решить по ходу операции. Остается только один вопрос:
— зачем усложнять?
Другой вариант лечения: удаление зуба, аугментация лунки, через полтора месяца можно приступать к имплантации. Без всяких синуслифтингов и проблем, связанных со стабилизацией импланта. Атрофия альвеолярного гребня? Эта проблема решается на этапе аугментации лунки.
И вот, если Вы любите и уважаете своих пациентов, если у вас нет ипотеки — наверняка вы будете рассматривать данный клинический случай через призму снижения рисков и упрощения работы. И, следовательно, выберите второй вариант. Верно?
Другими словами, друзья, иногда стоит отказаться от сложного и дорогого в пользу простого и доступного. Конечно, очень круто зафигачить какую-нибудь нереальную операцию, потом выложить ее в фейсбуке, чтобы все восхищались, но еще круче сделать так, чтобы пациент такую операцию просто не заметил. Ведь многое, очень многое остается за пределами фейсбучных фотографий, и это многое весьма важно, в первую очередь, для пациента. Он испытывает дискомфорт и рискует здоровьем, а не вы или ваши фейсбучные поклонники.
Итак, к трем исключениям, при которых немедленная имплантация не то, что невозможна, но просто нежелательна, добавляется еще один пункт:
— если немедленная имплантация получается сложнее и дороже, чем обычное отсроченное имплантологическое лечение.
И не стоит этот пункт игнорировать.
Продолжу рассказ о клиническом случае, который начал со снимка выше.
Итак, у пациентки был выбор: либо немедленная имплантация с синуслифтингом и неясным прогнозом, либо чуть более длительное лечение, но без синуслифтинга и геморроя со стабилизацией. И, поскольку ипотеку я уже давно отдал, мы пошли именно по второму пути.
Вот исходная клиническая картинка:
К сожалению, попытка вылечить зуб эндодонтически и восстановить с помощью вкладки/коронки потерпела неудачу. Поэтому приходится его удалять.
Первое, с чего начинается удаление зуба — это разрез. С помощью скальпеля и периотома отделяется круговая связка зуба. Конкретно в этом случае важно еще увидеть границы лунки, чтобы понять пределы аугментации:
Ну и, зуб проще удалить, если ты видишь, что от него осталось. Что мы и делаем:
Вместе с зубом удаляется прикорневая гранулема. После того, как из лунки удалены все патологически измененные ткани, можно подумать о том, как сохранить объемы альвеолярного гребня в этом участке для будущей имплантации.
Существует множество взглядов на аугментацию (или, как еще говорят, консервацию) лунки зуба после удаления. В абсолютном большинстве способов для этого используют биоматериалы. Остается лишь вопрос:
— Какие биоматериалы?
В огромном количестве существующих ныне биоматериалов сложно разобраться даже профессионалу. Попробуем как-то их систематизировать, чтобы понять, что это вообще такое:
- Аллографты (аллотрансплантаты) изготавливаются из трупных тканей мертвых людей. Другими словами, берется мертвый труп мертвого человека, режется на части. Эти части обрабатываются особым образом и используются для лечения других людей. Наиболее известным аллографтом в России является мулдашевский Аллоплант, за рубежом больше известны Аллодерм, Аллографт и т. д.
- Ксенографты (ксенотрансплантаты) получают путем переработки тканей животных другого, нежели человек, вида. Например, берется корова или свинья, делится на части: мясо в МакДональдс (если там вообще используют мясо), а кости — на какой-нибудь завод биоматериалов. Так производится Geistlich BioOss, Bottis Cerabone и целый ряд других известных во всем мире биоматериалов.
- Структура синтетических биоматериалов воспроизводится искусственно. Другими словами, их источником может быть как сильно переработанное природное сырье (все, что угодно — от костной ткани до кораллов), так и конкретно химические продукты (кристаллический гидроксиапатит, шпат или стекло).
В целом, что нужно знать о биоматериалах?
Первое то, что ВСЕ ОНИ РАБОТАЮТ. При условии, что мы используем их правильно и по показаниям. Любое бездумное использование даже самых крутых биоматериалов обречено на провал.
Второе то, что не существует каких-то «волшебных» биоматериалов. Все они, независимо от источника происхождения, работают по схожим принципам, а именно: удерживают объем в течение необходимого для регенерации кости времени. Другими словами, сами материалы в «кость» не превращаются. Волшебства вообще не существует.
* * *
Итак, вернемся к аугментации лунки. Задача биоматериалов в данном случае — удержание объема. В первую очередь, вестибулярной стенки лунки. Следовательно, тот графт, который мы планируем использовать, должен удержать объем.
Исходя из условий задачи, становится понятно, почему бессмысленно использовать для заполнения лунки коллагеновые губки. Возьмите губку, даже такую крутую как Collacone от Bottis, сдавите ее пальцами. Держит объем? Не, не держит. Так смысл толкать гемостатические губки в в лунки и называть это «аугментацией»? «Гемостаз» — вот этому название!
Примерно также бессмысленно применять для аугментации лунки гелеобразные или пастообразные биоматериалы, типа EasyGraft. В лунке должно находиться что-то более хардкорное, твердое и плотное. То, что позволит удержать объем. И выбор здесь, относительно небольшой — либо порошкообразные или гранулированные биоматериалы, либо что-то вроде объемных блоков.
На мой взгляд, идеальный материал для аугментации лунки — это, все же Geistlich BioOss Collagen:
Несмотря на внешний вид и название, это НЕ КОЛЛАГЕНОВАЯ ГУБКА! Во многом, это действительно уникальный материал, а состоит он из 90% известного всем BioOss и 10% коллагена. Если сказать иначе — это BioOss, встроенный в коллагеновый каркас. И этим объясняются многие его свойства:
- легкая адаптация, он вполне себе режется скальпелем.
- не теряет форму при увлажнении, за счет коллагенового каркаса
- держит объем благодаря тому, что известный вам BioOss резорбируется крайне медленно.
Итак, все начинается с адаптации:
Делается это с помощью скальпеля.
Биоматериал не нужно предварительно смачивать или увлажнять, он просто помещается в лунку в нужное положение:
Обратите внимание — у лунки отсутствует часть вестибулярной стенки. При использовании порошкообразного или гранулированного материала, мне пришлось бы отграничивать эту вестибулярную стенку с помощью барьерной мембраны. При использовании BioOss Collagen чаще всего этого не требуется.
Сам же материал достаточно гигроскопичен, чтобы быстро пропитаться кровью из лунки. Напомню, что именно жидкости являются транспортной средой в нашем организме, поэтому гидрофильные свойства во многом определяют способность биоматериала к интеграции:
Нет необходимости заполнять биоматериалом всю лунку. Не нужно заталкивать его в периапикальные области. Не забывайте о задаче — в первую очередь, нас интересует положение вестибулярной стенки, именно ее мы должны удержать на месте. Поэтому позиционируем наш графт, в основном, в верхней трети лунки:
И вот теперь самое время вспомнить «Факторы успеха остеопластических операций«, а именно — фактор #3. Согласно ему, любой тип графта должен быть изолирован от окружающей среды — и это является необходимым условием его регенерации. Другими словами, друзья, лунка должна быть герметично запечатана.
Осуществить это можно несколькими способами:
Вариант #1: Использование слизистотканного или соединительнотканного лоскута:
И все бы хорошо, но этот самый соединительнотканный лоскут нужно где-то взять. А это требует донорского участка и, следовательно, увеличивает травматичность и нашей операции, совершенно не добавляя комфорта в послеоперационном периоде. Зато можно сэкономить на материалах!)
Вариант #2: Использование коллагеновых матриц.
По сути, коллагеновая матрица в данном случае играет ту же роль, что и лоскут. При этом, нам не требуется где-то этот самый лоскут вырезать, не говоря уже о том, что адаптация и фиксация матрицы намного проще, чем даже самого тонкого соединительнотканного аутотрансплантата.
В своей практике я использую Geistlich Mucograft Seal, разработанный и предназначенный специально для аугментации лунок зубов. Это коллагеновая матрица, нарезанная кружочками 8 мм в диаметре:
ВНИМАНИЕ! Важное замечание!Коллагеновые матрицы — это не барьерные мембраны! Несмотря на внешнюю схожесть, они серьезно отличаются как по физическим, так и по биологическим свойствам. В частности, задача барьерных мембран — отделять одно от другого, в то время как коллагеновые матрицы служат основой для формирования новых мягких тканей.
В этом случае мы используем Mucograft Seal как наименее травматичный и наиболее простой способ герметизации лунки:
Матрица подшивается узловыми швами к краям лунки, таким образом достигается ее герметичность:
И вот что важно про швы. Любые другие способы подшивания что матрицы, что десневого лоскута, например П-образные или Х-образные швы, во-первых, не обеспечивают нужной герметичности, а во вторых создают излишнее натяжение краев слизистой оболочки, что приводит их деградации и стимулирует атрофию тканей. Так что лучше потратить побольше времени и зашить лунку так, как надо, чем потом переживать за результат операции.
В принципе, с наложением швов операция заканчивается. По времени такая работа занимает, примерно, полчаса, иногда дольше (40-50 минут), если удаление зуба затягивается.
Послеоперационные рекомендации можно дать совершенно такие же, как и при обычном удалении зубов. В подавляющем большинстве случаев, требуется антибактериальная терапия по стандартной послеоперационной схеме.
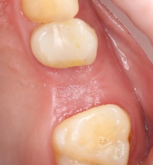
Важным этапом реабилитационных мероприятий является наблюдение. Вот так наша лунка выглядит через два дня:
Швы можно снять через 8-12 дней.
А вот так область операции выглядит через полтора месяца. Как видите, мы сохранили как объем альвеолярного гребня, так и кератинизированной десны:
И теперь наша клиническая ситуация — просто мечта для имплантолога!
Ничего не стоит поставить имплантат в такие объемы кости и при таком качестве слизистой оболочки:
Обратите внимание: даже там, где отсутствовала вестибулярная стенка лунки, восстановилась костная ткань:
Теперь мы просто ставим имплантат. Без синуслифтинга. И без проблем со стабилизацией:
А качество и объем слизистой оболочки настолько хороши, что можно сразу поставить формирователь десны:
и через 3 месяца приступить к протезированию:
Итого: 4,5 месяца, удаление-аугментация лунки плюс имплантация-формирование десны. Всего две операции. И никаких проблем.
* * *
Друзья, к чему я все это вам показываю? Причин несколько, резюмирую по порядку.
- на лекциях меня нередко спрашивают, какие материалы мы используем и почему. Биоматериалам даже посвящена отдельная лекция — RegenerationDay. Бесплатная, кстати. И вот, если честно, мой выбор Geistlich — просто потому, что это действительно хорошие биоматериалы. Хотя, и недешевые. А такого материала как BioOss Collagen, в таком же формате и с такими же свойствами вообще больше ни у кого нет.
- превентивная аугментация лунок, а этот термин мне лично нравится больше, чем что-то там с презервацией (кхмммм…), действительно работает. И каждый случай удаления мы, по идее, должны рассматривать как выбор между немедленной имплантацией и превентивной аугментацией лунки. Тем самым, создавая условия для будущего имплантологического лечения.
- не всегда нужно «втыкать» импланты в лунки только что удаленных зубов. Даже если очень хочется. Следует максимально рационально взвешивать как сложность вмешательства, так и возможные последствия. И, если вдруг немедленная имплантация получается сложнее, чем отсроченная — лучше ее не делать. И пойти более простым и надежным путем.
Ведь, друзья, как показывает практика, нередко именно простые решения оказываются правильными. Верно?
Спасибо за внимание.
С уважением, Станислав Васильев.











![2-2[1]](https://implant-in.com/wp-content/uploads/2015/12/2-21-650x326.jpg)


































