XВ качестве примера, возьмём самый простой клинический случай и наиболее удобную для понимания имплантационную систему XiVE (Dentsply Sirona Implants). Если простое вам не интересно — смотрите другие наши работы, посложнее, с комментариями на www.implant-in.com.
Важный дисклеймер! Мы вынуждены вас предупредить, что хирургическая операция, в целом, не самая приятное для созерцания зрелище. Поэтому, если вас воротит от вида крови, если слово "разрез слизистой" вызывает у вас паническую атаку илижелание убивать, то мы рекомендуем не читать и не смотреть эту страницу дальше заголовка. Идите лучше сюда. Там спокойнее.
Консультация и обследование.
Наш друг приехал из другого города, уже посетил консультацию имплантолога и ортопеда, провёл профессиональную гигиеническую чистку, необходимое обследование и готов к операции.
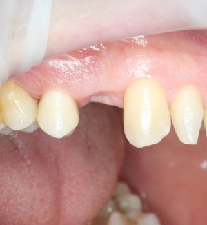
Изначальная клиническая ситуация:
Изучение компьютерной томографии (пациент привёз снимок с собой):

В данном случае, объёмов костной ткани достаточно для стабилизации оптимального по размеру имплантата, а качество десны делает возможным формирование эстетического контура без дополнительных процедур:
То есть, речь идёт о простой установке одного имплантата и одновременной установке формирователя десны. Это позволит уложить все хирургические этапы в одну процедуру, что упростит, ускорит и удешевит стоимость лечения.
И, как было отмечено выше, это будет XiVE — одна из лучших имплантационных систем на рынке.
Подробнее про выбор имплантационной системы можно почитать здесь>> или обсудить в рамках консультации.
Подготовка к операции.
Планируемая операция займёт, по предварительным расчётам, около 25-30 минут, поэтому не требует какой-то специальной подготовки.
Обычно мы просим наших пациентов перед операции как следует поесть, на то есть несколько причин.
- Во-первых, сытый человек лучше переносит стресс, коим является любая, даже очень простая и быстрая операция. Не говоря уже о том, что для некоторых людей посещение стоматологической клиники само по себе является стрессом.
- Во-вторых, после еды в крови возрастает уровень липидов (жиров), что положительно сказывается на её свёртываемости — а это значит, в после операционном периоде будет меньше проблем.
- В-третьих, у сытого человека меньше слюноотделение. А это, как вы понимаете, облегчает саму операцию.
После еды нужно почистить зубы, и сделать это можно прямо у нас в клинике. Благо, у нас всегда есть одноразовые зубные щётки.
Анестезия.
99,9991% имплантологических вмешательств можно делать под местной анестезией. Тем более, очень редко они занимают больше 60 минут.
В нашем случае, достаточно инфильтрационной анестезии Ультракаином. В очень небольшой дозировке:

Для нормального обезболивания в области премоляра требуется около 1 карпулы (1,7 мл) анестетика. Этого более, чем достаточно для простой установки одного имплантата.
Разрез и скелетирование альвеолярного гребня.
Разрез и скелетирование делаются, исходя из двух взаимоисключающих нюансов: с одной стороны, разрез должен быть минимально травматичным, с другой — обеспечивать хороший обзор:
Мы немного смещаем разрез в сторону нёба для того, чтобы потом нормально сформировать десну. Это видно на правой фотографии выше.
Затем рана скелетируется, открывается кость верхней челюсти:
Поскольку ранее мы сделали и внимательно изучили компьютерную томографию, то для нас никаких неожиданностей на этом этапе нет и быть не может. Мы спокойно приступаем к подготовке лунки под имплантат.
Подготовка лунки под имплантат (препарирование).
Основной этап операции, подготовка лунки под имплантат, проводится с помощью специального набора инструментов, индивидуального для каждого из видов имплантатов. У XiVE он называется XiVE Surgical Kit:

и содержит все необходимые компоненты не только для препарирования костной ткани, но и для временного протезирования.
По сути, это инструменты (в основном, фрезы) разложенные в определенном порядке, в соответствии с хирургическим протоколом. Последовательно их используя, мы готовим костную лунку под определённый размер имплантата.
Помимо хирургического набора, у нас есть специальный прибор, называемый физиодиспенсером:
В отличие от обычной стоматологической бормашины, он позволяет не только точно регулировать частоту оборотов и охлаждать режущий инструмент физраствором, но и контролировать крутящий момент:

Подготовку лунки начинают с разметки. Делается это при помощи шаровидного бора:



Далее, с помощью пилотной фрезы диаметром 2 мм задаётся ось лунки будущего имплантата, которую контролируем с помощью пинов из набора Surgical Kit:




К счастью, в набор XiVE входят не только вышеозначенные пины, но и аналоги имплантатов и абатментов. Это серьезно облегчает работу по позиционированию.
К примеру, мы еще не доделали лунку под имплантат, но уже можем представить, каким образом на на него будет фиксироваться абатмент:



будущего имплантата определён как 3.8 мм. Подробнее о подборе имплантатов можно почитать здесь>>.
Далее, коль ось лунки задана правильно, нам остаётся лишь довести лунку до нужного диаметра. Для этого используются основные рабочие фрезы. Первая из них — диаметром 3.0 мм:


после чего — контроль положения с помощью входящих в набор XiVE аналогов имплантатов:










Кстати, при немедленной имплантации такие аналоги имплантов позволяют оценить первичную стабильность даже без имплантата. И принять решение о его установке. Подробнее об этом мы поговорим в следующий раз.
Мы довели лунку до глубины 11 мм и диаметра в 3.8 мм. Но на этом подготовка лунки не заканчивается.
А всё потому, что костная ткань — упругая среда, и чтобы снять напряжение с кортикальной пластинки (и предотвратить периимплантит) мы используем специальную кортикальную фрезу:




И вот теперь, уважаемые друзья, мы можем приступить к установке имплантата.
Установка имплантата.
XiVE — одна из наиболее совершенных и универсальных имплантационных систем. В ней продумано всё. Даже упаковка:

В комплекте поставки есть всё, что нам необходимо даже для немедленной нагрузки: помимо имплантата, в коробке есть заглушка и временный абатмент TempBase с винтом. К сожалению, ни тем, ни другим мы не воспользуемся. Как говорится, не в этот раз.
Имплантат нужного размера (3.8х11 мм) фиксируется на гексагональном ключе, после чего устанавливается в подготовленную лунку:



Превышение усилия — это повышение нагрузки (читай, излишняя травма) на костную ткань вокруг имплантата. Что, в свою очередь, ведёт к периимплантиту или отторжению. Вот почему важно контролировать и регистрировать крутящий момент в процессе установки.
Как видите, в нашем случае он не превышает 25 Нсм — оптимально даже для немедленной нагрузки. Это значит, что необходимые параметры имплантации выдержаны правильно.
Еще раз проверим положение имплантата:



Учитывая то, что на нём уже установлен временный абатмент TempBase, сделать это очень просто. Фактически, сейчас мы с Вами видим картинку, которую увидит ортопед перед установкой коронки. Это очень удобно.
Больше нам абатмент TempBase не нужен, мы его убираем:



Без абатмента можно оценить позиционирование имплантата по глубине погружения. Напомню, что XiVE — это субгингивальная имплантационная система, поэтому ортопедическая платформа имплантата должна находиться на уровне костной ткани. Что и было выполнено в нашем случае.
И, коль всё в порядке, переходим к следующему этапу операции — установке формирователя десны.
Установка формирователя десны.
Одномоментная установка формирователя десны позволяет сократить время и удешевить лечение — ведь по мере интеграции имплантата мы получаем нормально сформированный контур десны, готовый к установке протетической конструкции. Но это возможно лишь тогда, когда с объемами мягких тканей в области имплантата всё в порядке. То есть, как раз в нашем случае.
В CLINIC IN используют только одноразовые формирователи и только один раз:


С учётом клинических условий, мы подобрали к установленному имплантату формирователь Slim (без расширений) высотой 3 мм:



Для окончательного формирования десневого контура, осталось только наложить швы.
Наложение швов.
Помните, в самом начале операции мы планировали наложение швов с учётом будущего вестибулярного смещения лоскута? Так вот, теперь у нас есть возможность не просто сместить, но и зафиксировать вестибулярный лоскут. Делается это, так сказать, с подворотом края снаружи:



Обратите снимание, что альвеолярный отросток в этой области стал более объемным. Этого удалось добиться без всяких остеопластических операций или гингивопластики, путём простого перемещения тканей.
Всё. Операция закончена:
Теперь делаем контрольные снимки и оцениваем результаты собственной работы.
Контрольный снимок.
Обычно для послеоперационного контроля достаточно даже прицельного снимка. Но мы делаем ортопантомографию:

А в некоторых случаях — конусно-лучевую компьютерную томографию.
По снимку мы проверяем отношение имплантата с окружающими тканями (в первую очередь) с верхнечелюстной полостью, а также посадку формирователя десны. Между ними не должно быть щели — это особенность систем с плоской платформой.
Рекомендации после операции.
Рекомендации после операции очень просты, ознакомиться с ними можно в специальном разделе. В сущности, они сводятся:
- к особому режиму ухода и осторожности — поддерживать хорошую гигиену полости рта, ухаживать за раной, стараться не воздействовать на формирователь и имплантат физически.
- особым правилам поведения — на несколько дней придётся воздержаться от приёма грубой, горячей или острой пищи, исключить на 2-3 дня физические нагрузки, занятия спортом и т. д.
- приему некоторых лекарственных препаратов (антибактериальная, противовоспалительная терапия)
- регулярным осмотрам доктора
В стоматологическом центре CLINIC IN все рекомендации и назначения выдаются в виде памятки с указанием сроков и времени последующих осмотров. Предварительно ознакомиться с ними можно здесь>>.
Послеоперационный период.
Как правило, послеоперационный период сопровождается рядом симптомов, главными из которых являются кровотечение и припухлость в области операции. К примеру, вот тот же пациент через два дня после операции:

Он полностью трудоспособен и не испытывает никакого дискомфорта. Отёков, как видите, тоже нет. Но было кровотечение. И это видно по состоянию послеоперационной раны:


На формирователе и швах повис большой кровяной сгусток. This is хорошо, поскольку он как защитная повязка, прикрывает рану от воздействия извне. Возможно, именно этим объясняется отсутствие каких-то неприятных симптомов в послеоперационном периоде.
Что дальше?
На интеграцию имплантата уходит, в среднем, 3 месяца. Одновременно с этим идёт формирование мягких тканей, поэтому где-то через 12 недель мы получим готовую для установки коронки систему. Таким образом, весь стоматологическая реабилитация у нас уложилась в два этапа и 4 месяца.
О том, как изготавливаются коронки на имплантат и как они фиксируются — далее расскажут наши ортопеды.
Что еще почитать про установку имплантатов?
- Импланты и биоматериалы, с которыми мы работаем
- Рекомендации по установке имплантов: Часть I, Часть II, Часть III, Часть IV, Часть V.
- Про торк, крутящий момент и Hcm
- Ультракороткие импланты — когда размер действительно имеет значение
- Стоимость имплантологического лечения в CLINIC IN
- IMPLANT-IN.COM — главный имплантологический сайт нашего шефа.



































