Некоторое время назад Станислав Васильев, наш шеф и хирург-имплантолог, писал о том, что в современной стоматологии стало слишком уж много хирургии, что показания к хирургическому лечению значительно расширены, и имплантологи рвутся в бой даже тогда, когда, вроде как, их никто не звал. Тогда, в качестве примера он привёл мою работу — вместо хирургических операций по пластике десны, мне было достаточно всего лишь правильно восстановить контактный пункт между зубами — и межзубный сосочек восстановился самостоятельно.
Я решил продолжить эту тему и рассказать, стоит ли бежать к хирургу, если у вас вдруг обнаружили «кисту зуба» или что-то еще страшно звучащее.
В наш стоматологический центр очень часто обращаются пациенты с периодонтитами, кистами и другими воспалительными процессами, спровоцированными кариесом зубов. И действительно, нередко такие пациенты идут сразу к хирургу, полагая, что с этим ничего сделать нельзя — можно только удалить зуб и поставить имплантат.
Однако, какой бы ни была зубная киста — это вовсе не приговор. Современная стоматология позволяет лечить и сохранять такие зубы с высокой степенью надёжности. Наши хирурги это знают, поэтому большинство пациентов с гранулёмами и кистами, в итоге, оказываются у нас в терапевтическом кабинете. В конце концов, хороший хирург это не тот, кто сделал много операций, а тот, кто отказался от ненужной — и наши доктора это в полной мере усвоили.
Итак, давайте разберем причины появления корневых кист и постараемся ответить на вопрос:
— можно ли спасти такие зубы от удаления?
Периодонтит развивается по известной схеме:
Иными словами, почти всегда причиной периодонтита является инфекция, попадающая в систему корневых каналов из кариозной полости.
Это происходит потому что:
- пульпа умерла бессимптомно и система корневых каналов инфицируется (например, при глубоком кариесе)
- предыдущее некачественное лечение (работа без коффердама, недостаточная обработка, пропущенные или не пролеченные каналы)
- трещины, переломы, вывихи и другие нарушения целостности тканей зуба.
При этом, инфекция находится в зубе, где отсутствует кровообращение. Соответственно, организм не может справиться с инфекцией и выстраивает “линию обороны” там, где может — около естественных отверстий, где раньше располагались сосуды и нервы.
На всё чужеродное, в т. ч. на бактерии и продукты их жизнедеятельности, организм реагирует соответствующей реакцией — воспалением.

Один из «эпизодов» воспалительного процесса — размножение и миграция специальных защитных клеток — т. н. «макрофагов». Макрофаги способны уничтожать бактерии, остатки погибших клеток, обезвреживать продукты жизнедеятельности микробов и т. д. В общем, это очень полезная часть нашей иммунной системы.
Так как причина воспаления, дохлая и инфицированная пульпа зуба, не убрана, макрофаги в области верхушек корней зуба долгое время остаются активными. И остеокласты, макрофаги костной ткани, начинают разрушать костную ткань вокруг корня зуба. Так появляется гранулёма, а затем — корневая киста:
При этом полость воспаления как правило стерильна, все выходящие за пределы зуба бактерии тут же съедаются макрофагами.
Следовательно, наша задача при лечении периодонтита или корневой кисты — убрать инфекцию, которая находится в зубе. Если по каким-то причинам сделать это невозможно — то нужно, хотя бы, не дать токсинам и продуктам жизнедеятельности бактерий выйти за пределы зуба.
На практике это реализуется следующим образом:
Удаление зуба. Огромный плюс этого способа в том, что, удаляя зуб, мы со стопроцентной вероятностью уберем всю инфекцию, которая в этом зубе была. Огромный минус — после удаления нам необходимо чем-то замещать то, что удалили. Т.е. проводить операцию имплантации и протезирования со всеми вытекающими последствиями. Как, например, сделал наш хирург Андрей Дашков — удалил зуб, сразу поставил имплантат и формирователь десны. Это и есть немедленная имплантация, наиболее часто используемая методика имплантологического лечения в нашей клинике.

Лечение или перелечивание корневых каналов зуба. При этом способе мы максимально дезинфицируем систему корневых каналов, предотвращая выход микробов и их токсинов в окружающие зуб ткани. Организм, в свою очередь, заново строит костную ткань вместо воспалительного очага.
Например, вот первичные снимки обратившегося к нам пациента. Ранее кто-то уже полечил верхний шестой зуб, но что-то пошло не так:

Должен заметить, что наиболее правильный и точный вариант рентгенодиагностики в таком случае — это конусно-лучевая компьютерная томография. Ну а, перелечивание таких зубов проводится, исключительно, под микроскопом. Как правило, на это требуется два визита с промежутком от двух до четырёх недель.
Первый контроль результатов лечения имеет смысл сделать через полгода, для этого лучше всего подходит компьютерная томография. Вот, что получилось у нас получилось:

В дальнейшем, мы рекомендуем закрыть зуб коронкой или вкладкой во избежание переломов коронковой части. И, при должном контроле и уходе, можем утверждать, что такой зуб прослужить довольно долго.
Безусловным плюсом такого подхода является возможность сохранения своего зуба, который, с точки зрения физиологии, психологии и биомеханики, всяко лучше коронки на имплантате. К тому же, нет необходимости в хирургическом лечении, где тоже немало своих нюансов, подводных камней и проблем.
Но не бывает плюсов без минусов, и здесь главный минус — это то, что успешность повторного эндодонтического лечения составляет примерно 80-85%. К сожалению, мы не можем простерилизовать корневые каналы — только продезинфицировать. И отдельные оставшиеся бактерии, засевшие, например, в дентинных канальцах или маленьких ответвлениях основного канала, могут поддерживать воспалительный процесс. В таких случаях, — а это, ориентировочно, 10-15%, — нам может потребоваться хирургическое лечение, зубосохраняющая операция.
Стоит отметить, что зуб должен не просто находиться в полости рта, но и выполнять свою функцию. То есть, лечением и перелечиванием мы занимаемся только в тех случаях, когда, помимо хорошего прогноза по работе с корневыми каналами, зуб можно будет качественно и надежно восстановить.
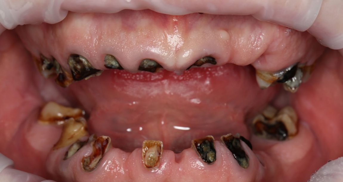
К примеру, в данном случае я бы мог пролечить каналы всех этих зубов:
Однако, нормально протезировать и восстановить эти зубы коронками, даже если очень захотеть, не получится. Поэтому план лечения в этой клинической ситуации будет более радикальным — удаление всех зубов, установка какого-то количества имплантатов и протезирование с опорой на импланты.
Стоит ли стараться сохранить свои зубы? Я на 146% убеждён, что стоит. Но как это сделать? Об этом я обязательно расскажу в своих следующих статьях.
Ну и, 23 мая, в четверг, в 19-00 я приглашаю всех желающих к нам в клинику поговорить о лечении и спасении зубов, которые кто-то приговорил к удалению. Приходите, будет очень интересно.
А сейчас я готов ответить на все ваши вопросы в комментариях.
С уважением, Станислав Матлаев, стоматолог CLINIC IN.


























