Не многовато ли хирургии в вашей жизни?
Поводом для сегодняшнего разговора стало обсуждение одного клинического случая на недавнем RegenerationDay. История такова.
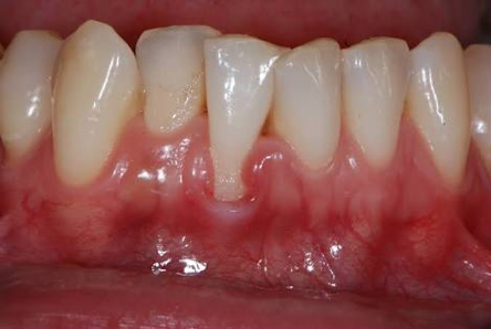
Был у пациентки неправильный прикус. Пошла она к ортодонту, тот наклеил брекеты. Через некоторое время, в области одного зуба открылся корень, появилась т. н. «рецессия десны». Что-то вроде этого:

Да, к сожалению, при ортодонтическом лечении такое случается. Но, ситуация не критичная и относительно легко поправимая.
Но вместо того, чтобы её исправлять, ортодонт направляет пациентку к хирургу-пародонтологу. Тому, видимо, очень хотелось саблей помахать — и он херачит (простите, другого слова не нахожу) вестибулопластику — недешевую и, между прочим, весьма травматичную операцию с недешевым таким материалом Geistlich Mucograft. Причём, в таких масштабах, что мне показалось, что пародонтолог хотел пациентке в преддверие полости рта тарелку вставить:

И, наверное, мы об этом случае никогда бы не узнали, и, возможно, не стоил бы он обсуждения, если бы после этой операции не начались проблемы. Сначала вывалился кровяной сгусток, удерживаемый Мукографтом. Потом начался некроз краевой десны. И всё это — на фоне активного движения зубов, ведь ортодонтия еще не закончилась. Извините, но последствия показать вам не могу, дабы не травмировать вашу нежную психику.
И вот, сейчас обсуждается уже не закрытие этой самой злосчастной рецессии, а спасение всего фронтального участка зубов. А пациентка, я напомню, красивая девушка 22 лет.
Вот так, именно стараниями докторов, маленькая ортодонтическая проблема превращается в большую хирургическую. Причём, с совершенно неясным прогнозом.
Некоторые из моих коллег возразят: «Ну, это же хирургия! Бывают осложнения, с каждым может случиться».
Я соглашусь: «да, осложнения случаются». Их не бывает только в одном случае — когда нет самой хирургической операции. И у меня, в свою очередь, возникает встречный вопрос:
«В какой момент, уважаемые коллеги, наши личные амбиции и, возможно жажда бабла, победили медицинскую целесообразность и адекватный анализ рисков?»
Между тем, у данной клинической ситуации, существовало другое, намного более простое и совершенно нехирургическое решение. Да, собственно, вы и сами понимаете, о чём я.
Представьте, что вы идёте по улице и случайно наступаете в большую лужу дерьма. Что вы делаете? Скорее всего, вы скажете «Айбля!», и сделаете шаг назад, чтобы вытащить ногу из лужи и внимательно осмотреться — нет ли более чистого пути? Никто из вас, попав в лужу с дерьмом, не ускоряется и не лезет в неё целиком, усугубляя своё санитарно-гигиеническое состояние.
Здесь же, ортодонт, по идее, должен был сказать «Айбля!», поменять или переклеить брекеты, правильно погнуть дугу и т. д. — у него были все шансы вернуть зуб обратно. И рецессия, сама по себе, закрылась бы, без всякой хирургии. Пародонтолог, к которому направил пациента ортодонт, должен был сказать «Айбля! Возвращайтесь к ортодонту и ставьте зуб на место». И всё, на этом. Ни крови, ни боли, ни осложнений.
Почему был выбран иной путь? Не знаю.
Ну, да ладно. Обсуждать чужую работу, особенно с недочётами — всегда весело и интересно. Самооценка, как бы, растёт, и всё такое…. И вот, чтобы самооценка не отросла до колена и стала бы мешать нормальной практике, иногда полезно проанализировать собственные косяки и ошибки. Расскажу про себя, молодого и симпатичного.
Некоторое время назад, я тоже считал себя выдающимся, сцуко, хирургом, которому подвластны лимфоциты и фибробласты, да и вообще — любая хирургическая операция по плечу. В целом, я должен заметить, что, чем меньше у тебя опыта, тем более «крутым хирургом» ты себя считаешь. Хз, почему так.
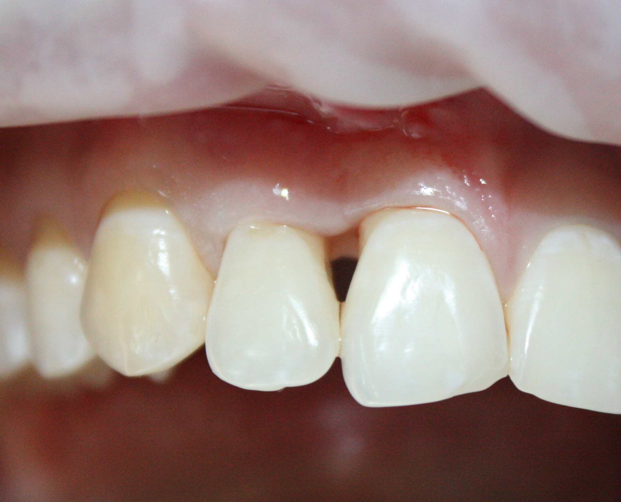
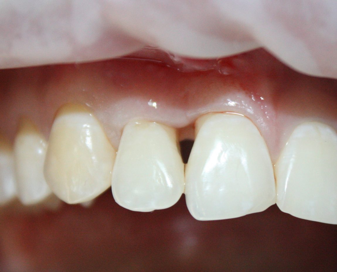
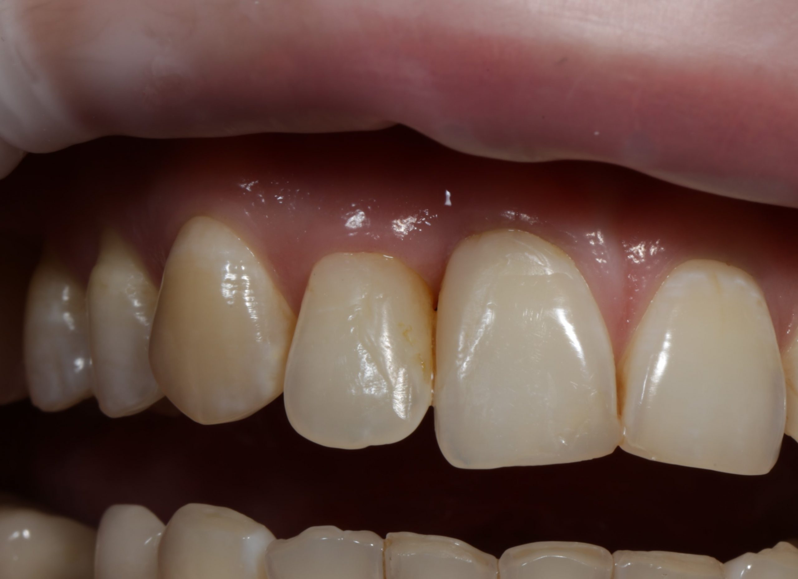
Так вот, обратилась к нам однажды пациентка. Милая и красивая девушка по имени Елена. С относительно простой проблемой — в процессе ортодонтического лечения из-за перемещения зубов исчез межзубный сосочек. Как- так:

Ну, я такой:

Щас, типа, я вас вылечу. У нас тут как раз появился новый зашибательский материал Geistlich Mucograft, пипец дорогой, но зато можно никаких лоскутов не брать.

А еще, у меня руки чешутся его испытать.
В общем, говорю я Елене, щас я сделаю Вам суперпупермегаоперацию. С помощью мукографта, я, блин, в два притопа и три прихлопа, восстановлю вам межзубный сосочек. И любые другие сосочки тоже — только подайте сигнал!
И это у меня даже получается.

Правда, на некоторое время. Прошло около года — и всё вернулось в прежнее состояние. Развалилась наша суперпупермегаоперация.

Маленькое замечание. Вот этот случай — одна из причин, почему нельзя верить фоткам «до-« и «после-«, которыми описывают проделанную работу некоторые стоматологи в своих инстаграмах. В контексте этого случая, надурить всех вас было бы очень просто — я бы взял фотку «до-«, взял фотку «через полтора месяца после операции» — и всё было бы зашибись. Ну а то, что дальше всё развалилось — зачем, вообще, вам об этом знать?
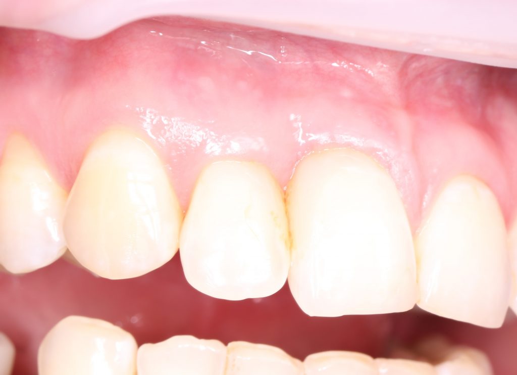
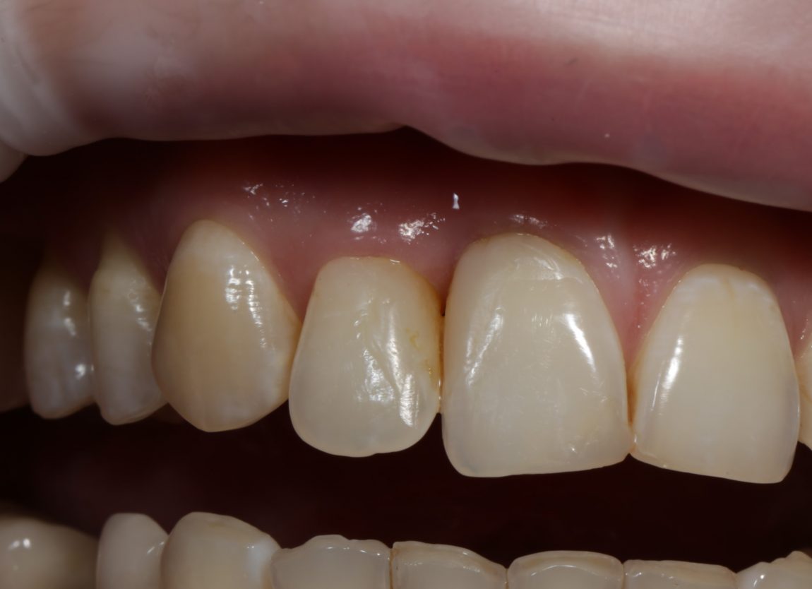
А дальше произошло следующее. Пациентка пошла к врачу-терапевту, который скорректировал ей контактный пункт (точку контакта между центральным и боковым резцами). И вот, что получилось:

Межзубный сосочек восстановился сам по себе. За пару месяцев. Без всяких скальпелей и мукографтов.
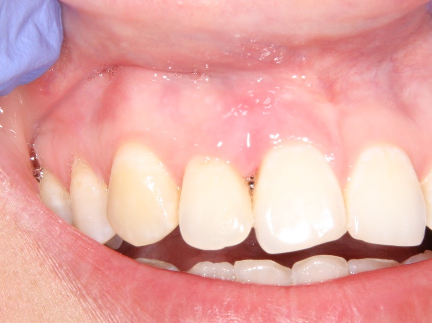
И этот результат сохраняется в течение длительного времени. Уже шесть лет прошло:

А теперь у меня вопрос ко всем, особенно к себе, тогда еще молодому и симпатичному:
Какого х@я мы делали операцию?
Если пришёл стоматолог-терапевт, что-то там поделал — и всё восстановилось самостоятельно, без нашего участия? Были ли оправданы боль, страдания, лекарственная терапия, неизбежно сопровождающие подобное хирургическое вмешательство? Нужен ли был Mucograft, стоимостью в +100500 тыс. рублей? Нет, нет и нет.
Этот случай сделал нас сильно умнее. Надеюсь, вам он тоже поможет.
* * *
Перенесёмся из далёкого прошлого в наш родной стоматологический центр CLINIC IN.
Хотя, в названии центра не фигурирует «имплантология», это направление стоматологии давно стало для нас чуть ли не главным. Более того, шеф клиники, то бишь я, — хирург-имплантолог. Если это случается где-то еще, то получается песдетс — вся работа всей клиники сводится к направлениям на имплантацию, удалению зубов и имплантации. Ну, или к остеопластикам, мукогингивопластикам и прочим попыткам ввернуть хирургическое вмешательство в любой план лечения.
Например, как бы поступил главный врач-имплантолог, попадись ему такая картинка?

«Удалять, удалять, удалять! Имплантировать, имплантировать, имплантировать!» — сказал бы главный врач-имплантолог и побежал бы в операционную.
И, наверное, если бы мне где-то в начале карьеры попался бы такой случай, я бы поступил аналогичным образом. Но, к счастью, за многие годы практики, я набил достаточно шишек, чтобы адекватно оценивать риски и отказаться от хирургической операции там, где она не нужна.
Тем более, вместе с тобой работают замечательные врачи-эндодонтисты, настоящие спасатели зубов. В частности, Станислав Матлаев. В таких случаях, решение об удалении/лечении/имплантации/протезировании зуба должен принимать не хирург-имплантолог (пусть даже он главный врач), а именно терапевт с ортопедом. И, если зуб возможно вылечить и сохранить — нужно вылечить и сохранить. Ибо свой зуб, как ни крути, всегда лучше имплантата.
Еще раз, посмотрите на снимок выше. Запомните, что там происходило вокруг зуба.
Но тут пришёл доктор Матлаев — и всё вылечил.
Посмотрите на результат:

Скажите мне, стоило этот зуб удалять? В каком варианте лечения было больше рисков — в сохранении этого зуба терапевтическими методами или удалении-имплантации? Вот, это и есть результат правильного командного подхода — когда ни один доктор, пусть он даже главный врач, не тянет на себя всю работу, когда сложные случаи разбираются и лечатся сообща, когда используются опыт и знания не одного, а целой команды врачей: одна голова хорошо, две — лучше, три — так вообще замечательно!
Лет шесть назад, еще работая в «канАдской», я ежемесячно получал от трех до пяти зубов на удаление и имплантацию только по той причине, что стоматолог-терапевт не мог найти/пройти/пролечить каналы зуба. Сейчас же, если ко мне обратятся раз в подгода — то это, по сути, много.
Ибо решение лечить/удалять возможно принять еще на этапе диагностики и обследования. Ну и, если уж кто-то из наших докторов берётся лечить — он, действительно, справится.
Впрочем, я думаю, скоро они и сами всё расскажут.
23 мая, в 19-00 мы приглашаем всех желающих к нам в клинику поговорить о лечении и спасении зубов, которые кто-то приговорил к удалению. Наш доктор, очень крутой эндодонтист Станислав Матлаев, расскажет всем желающим о нехирургическом лечении околокорневых кист и гранулём. Приходите, будет очень интересно.
Заключение.
В моей хирургической практике было несколько переломных моментов, которые, в большей степени, сформировали меня как врача.
Изначально, я наивно полагал, что весь секрет очень крутой хирургии — исключительно в мануале. Начиная с третьего курса университета, я оттачивал хирургические навыки, учился и старался довести швы, разрезы и прочие хирургические этапы операции до совершенства. Таки, довёл.
Потом в моей жизни появились настоящие пациенты. И с первыми же осложнениями я понял, что мануал — это ничтожно малая часть хирургии как медицинской специальности. Я, кстати, про это уже писал. Тогда я перечитал огромное количество книг, посетил невероятное количество курсов и всевозможных лекций — так, под мой мануал легла прочная теоретическая база.
Но даже идеально выполненная, со всех позиций обоснованная хирургическая операция вовсе не гарантирует отсутствие осложнений. Лучший способ избежать рисков — это не делать хирургическую операцию, либо максимально её упростить. Чем сложнее операция, тем больше с ней проблем — разве не логично?
Поэтому, если есть иное, нехирургическое решение какой-то проблемы со здоровьем — не нужно бежать со скальпелем наперевес и кричать: «Щас я вам забабахаю суперпупермегаоперацию!..» Хотя бы потому, что суперпупермегаоперация может быть чревата суперпупермегаосложнениями. И пустячная, на первый взгляд, проблема, вдруг резко станет непустячной.
Ну, а хирургия полости рта, имплантология — всё это, действительно, прекрасно, но лишь тогда, когда никаких других решений не остаётся. Хирургия, она ведь от безысходности используется, а не потому, что «хирургу тоже надо как-то зарабатывать».
И сейчас, я, мы, наш стоматологический центр, стараемся работать так, чтобы в жизни наших пациентов было как можно меньше хирургии и, соответственно, меньше рисков для здоровья. Благо, у нас тут есть замечательная команда врачей-специалистов с той же философией, опытом и мировоззрением.
Впереди у нас — много интересного про спасение зубов. Не переключайтесь. Будет интересно!
С уважением, Станислав Васильев, шеф CLINIC IN.

















добрый день. опишите, пожалуйста, полный механизм восстановления межзубного сосочка без хирургического вмешательства (при помощи восстановления контактного пункта). и будет ли этот механизм схож с тем, когда мы при помощи ортопедической конструкции пытаемся добиться такого же результата (в случае не восстановления сосочка после имплантации). спасибо.
Добрый день. Думаю, будет правильным поручить описание этого случая тому, кто его реализовывал — нашему терапевту Станиславу Матлаеву. Можно ему написать на почту stanislav.matlaev@clinicin.ru. Ну и, этот механизм действительно схож с тем, что мы делаем с помощью ортопедической конструкции, а точнее — формирования контактных пунктов. Об этом мы как-нибудь расскажем в следующих статьях. Спасибо Вам за комментарий!
С уважением, Станислав Васильев.