Всё же, это была отличная идея. Незадолго до семинара по имплантологии XiveDay, нам пришла в голову идея сделать ящик по типу почтового, в который можно было бы кидать записки с вопросами по теме лекции:

Так появился XiveBox. Благодаря ему, вы можете задать свой вопрос по имплантации и протезированию на имплантатах — и получить внятный и подробный ответ. Возможно, вы не успели это сделать на семинаре. Возможно, вы просто забыли свой вопрос. А, быть может, он настолько неприличный, что вслух его произносить нельзя. Решение простое — задайте вопрос об имплантатах Xive или имплантации зубов вообще в комментариях к этой статье, присылайте на почту staskins@implant-in.com с пометкой «xivebox», ставьте хэштег #xivebox в социальных сетях под интересующими вас темами — мы его отслеживаем, а потому обязательно найдём его и ответим. Мы, я, Иван Алгазин, СИМКО и Dentsply Sirona Implants прекрасно понимаем, насколько это для вас важно.
А теперь, собственно, перейдём к оставленным вами вопросам (орфография и пунктуация сохранены):
Есть ли у имплантов XiVE возможность к дополнительному расщеплению кости как например система ANYRIGE? Резьба у имплантов XiVE агресивная? Спасибо.
Отвечает Станислав Васильев. Я правильно понял, что вы имеете ввиду вот эти имплантаты?


Если вы имеете ввиду остеотомию как отдельную или сопровождающую установку имплантатов манипуляцию, то для неё подходят любые конические имплантаты (Tapered). В том числе, Xive:

К агрессивной резьбе нужно относиться с большой осторожностью. См. протокол Эниридж выше — финишной является фреза диаметром 3.8 мм, в то время как диаметр имплантата — 4.0 мм (к слову сказать, подобная ситуация характерна для всех корейских имплантатов, не только для Megagen). То есть, по 0.1 мм костной ткани вокруг имплантата отдавливается и, как вы думаете, к чему приводит подобное напряжение? Правильно, к периимплантитам и отторжениям. Если костная ткань III-IV биотипа более-менее податлива и нормально кровоснабжается и, следовательно, восстанавливается, то толстый у кости I-II биотипа итак всё плохо с кровоснабжением и регенерацией, а тут мы еще передавливаем его имплантатом…
Однажды я попробовал посчитать, какое давление оказывает имплантат, если разница в диаметре между ним и финишной фрезой 0,05 мм. Да-да, всё по-научному, учитывая модуль упругости витальной кости и т. д. Так вот, у меня получились такие большие цифры (в килоПаскалях), что я подумал, что где-то ошибка и не стал публиковаться. Но суть остаётся прежней — нельзя рассматривать костную ткань как абсолютно твёрдое тело, а давление, оказываемое имплантатом на кость, прямо пропорционально моменту силы при его установке.
В общем, идеальная ситуация, коллега — это когда имплантат не оказывает на костную ткань вообще никакого давления. Для этого форма лунки должна максимально совпадать с формой имплантата. В противном случае — ишемия, деструкция кости и периимплантит. Или отторжение.
Вторая часть вашего вопроса — о резьбе Xive. Разные участки имплантата Xive имеют разную резьбу:

При этом, каждый участок со своим собственным дизайном резьбы играет свою роль. Назвать её агрессивной можно, пожалуй, только на апексе. Подробнее о резьбе Xive и дизайне резьбы вообще Вы можете почитать, соответственно, здесь>> и тут>>.
Надеюсь, я ответил на ваш вопрос? Если нет или не полностью — уточните, пожалуйста, в комментариях. Я доотвечаю).
Вопрос о лечении и борьбе с переимплантитами – как и чем Вы превращаете имплант из субгингивального в трансгингивальный? Шлифовка? Полировка? Хотелось бы поподробнее.
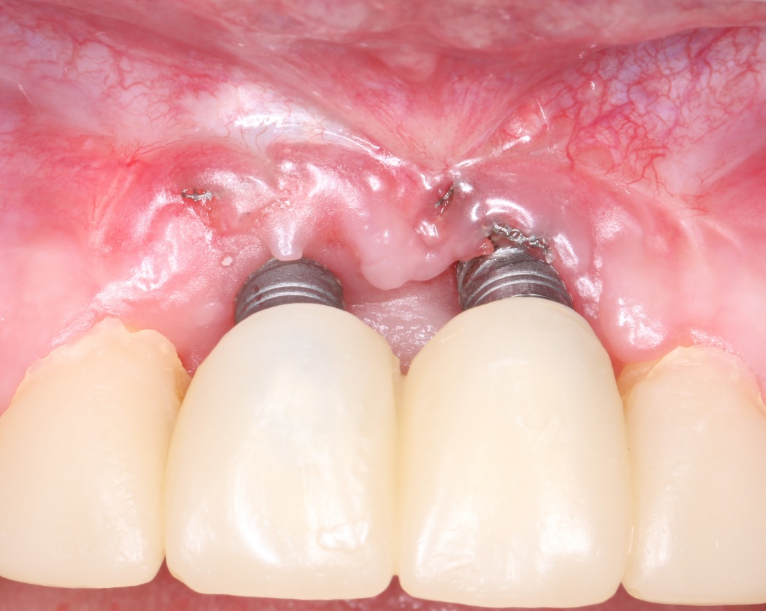
Отвечает Станислав Васильев. Вы, наверное, имели ввиду вот этот самый случай?

Наверное, еще и на снимки хотите посмотреть? Вот они:

На самом деле, это простой, понятный и, что важно, надёжный способ лечения периимплантита. Он заслуживает отдельной статьи и, я думаю, скоро мы об этом напишем.
На мой взгляд, здесь более уместным был бы вопрос «ПОЧЕМУ ТАК?» а не «ЧЕМ ВЫ ЭТО ДЕЛАЕТЕ?» ну, да ладно. Отвечу на оба.
Как и большинство докторов, я ранее считал, что причиной периимплантита является плохая гигиена полости рта и перегрузка имплантата вследствие неправильного протезирования. Да, так было написано в наших учебниках, и в этом действительно что-то есть.
Однако, сейчас я думаю иначе — понаблюдав за своими и чужими имплантатами в течение длительного времени, я считаю, что все условия для развития периимплантитов мы создаём на хирургических этапах лечения, а именно — неправильный подбор и позиционирование имплантатов, игнорирование остеопластики и мукогингивопластики, нарушение хирургических протоколов и т. д. Таки да, периимплантит легче предотвратить, чем вылечить — и поэтому я призываю вас соблюдать всё — от правильного позиционирования до выверенных усилий при установке имплантатов и никогда-никогда не переступать через здравый смысл с торками в 100 Нсм….
Итак, в данном случае, причин несколько. Во-первых, и это очевидно — чрезмерные усилия при установке имплантатов. Поскольку «воронки» вокруг них образовались еще до протезирования. Во-вторых, тонкий и недостаточный объём кератинизированной десны — как результат, прорезывание заглушек и инфицирование поверхности имплантата.
Что мы из этого можем исправить?
«Нарастить» костную ткань поверх имплантата — это долго, дорого и ненадёжно. Я еще ни разу не видел в реальной жизни, чтобы кому-то это удалось. При этом, все мы знаем о существовании трансгингивальных имплантатов — так почему бы не сделать из субгингивального имплантата трансгингивальный? Платформа, таким образом, окажется чуть ли не выше уровня десны — но разве это серьёзная проблема?
Для начала, удаляем из периимплантитной «воронки» все грануляции. Еще лучше — прям снять небольшой слой костной ткани (помните про «демаркационную зону?» — говорил ведь на лекции!). Затем, с помощью алмазных боров и повышающего наконечника, шлифуем сам имплантат. Сначала крупным абразивом, затем мелким. Не забудьте зафиксировать на имплантаты заглушки, чтобы не повредить платформу и шахту имплантата.
Теперь нам нужно утолщить десну. ССТ, как говорится, в помощь. Имплантаты зашиваются наглухо лоскут оказывается прямо под соединёнными краями раны.
Через 3-4 недели — повторное формирование десны в новых условиях. Еще через неделю передаём пациента врачу-ортопеду для временного и постоянного протезирования.
К сожалению, подбор и позиционирование имплантатов в этом клиническом случае проведены неправильно (сразу видно, что это не работа нашей клиники — у нас за такой бьют по жопе). Это не даёт возможностей Ивану провести правильное протезирование (отдельная коронка на каждый имплантат), он вынужден идти на компромисс, соединяя всё в единую протетическую конструкцию. Которая служит пациентке уже два года и не причиняет никакого дискомфорта. Иван Алгазин — большой молодец!
Встречается в Вашей практике ситуации с поломками винтов? Что нужно делать, чтобы это не случалось?
Отвечает Иван Алгазин:
Перелом фиксирующего винта в шахте импланта — редкое и неприятное осложнение в практике врача стоматолога. Такое встречается если платформа имплант-абатмент плохо прилегают друг к другу и их конгруэнтность нарушена. В таких случаях вся нагрузка передается не через «пятно платформы», а сразу на винт. Это и приводит к разлому.
В большинстве случаев мы можем это избежать. Как? Очень просто! Почти всегда перед поломкой винта (обычно за полгода-год до этого) пациент обращается к доктору с жалобой на подвижность коронки. По факту мы видим простое раскручивание винта. Наше решение: просто дотягиваем винт! Если пациент обращается к доктору более двух раз за год с раскручиваем винта — это явный повод задуматься о нарушении точности прилегания платформы или иной причине (окклюзионный фактор). Обычно на третий-четвертый раз происходит поломка винта. Если мы это будем помнить — сможем избежать этой проблемы. Использование оригинальных ортопедических компонентов сократит данные осложнения до минимума!
Если винт все-таки сломался? Прежде всего нужно обеспечить хороший обзор шахты импланта! БИНОКУЛЯРЫ или МИКРОСКОП — Must Have! Без них не стоит начинать. Есть риск повредить резьбу внутри импланта. Мягкие ткани стремятся закрыть шахту, а нам необходима как раз их раздвинуть. Как это делать и чем зависит от толщины десны в этом месте. Иногда приходится раскрывать для этого десну хирургическими методами. Когда есть хороший доступ к шахте мы можем приступать к выкручиванию винта. Для этих целей используется тонкая УЗ насадка, которой водит по месту облома винта в сторону откручивания. Также для некоторых систем предусмотрен Ремонтный Набор. В нем есть специальный инструмент для выкручивания сломанных винтов. Но! Лучшее лечение — это профилактика. Старайтесь избегать этого осложнения, соблюдайте протоколы и рекомендации и May the Force be with you.
Отвечает Станислав Васильев:
Я полностью согласен с Иваном. Ну и, от себя немного добавлю: в известной книге «Факторы Риска…» Ренуар и Рангерт указывают на то, что развинчивание коронок на имплантах — это тревожный симптом, указывающий на ошибки в протезировании. И решить проблему закручиванием винта «потуже» не совсем правильно. Это касается имплантатов с любым типом платформы.
В «Канадской Стоматологии», куда в своё время я привёл имплантационную систему Xive, это была прям беда. Начали разбираться и выяснили, что тамошний ортопед, привыкший крутить мощные винты Astra Tech, просто не верил, что такая маааленькая отвёрточка с таким мааааленьким торком (14-24 Нсм) справится с нормальной фиксацией абатмента. Ну и, действовал по слесарно-столярному — брал динаметрический ключ и отвёртку из набора Astra и крутил всё с усилием в 40 Нсм. И матерился, когда срывал шлицы или ломал винты прямо в ходе установки….
Между тем, существуют разные концепции передачи нагрузки с абатмента на имплантат. В большинстве имплантатов с конической платформой нагрузка с абатмента передаётся, в основном, через винт. Поэтому производитель делает его весьма большим и обязательно одноразовым. В других имплантационных системах, а к ним относится и Xive, нагрузка передаётся через саму платформу, поэтому винты делают маленькими, а для их закручивания не нужны большие усилия.
Вот почему прежде, чем взять работу на пока еще неизвестных для вас имплантатах — прочитайте инструкцию. Если это система первого типа (где винт важен), то там, как правило, для фиксации абатмента используются торки под 30-40 Нсм. И наоборот, если это высокоточная платформа, где винт не играет решающей роли в передаче нагрузки, то фиксация абатмента винтом происходит на торках не более 25 Нсм. Не перепутайте.
Лучший способ избежать переломов — слушаться Ивана Алгазина и читать инструкции прежде, а не после протезирования.
Как избежать переимплантита на XiVE?
Отвечает Станислав Васильев:
Очень просто. По пунктам:
- Правильно подбирайте и позиционируйте имплантаты в конкретных клинических ситуациях.
- Соблюдайте хирургический протокол и корректируйте его, с учётом биотипа костной ткани. Помните, что перепреп всегда лучше, чем недопреп.
- Не прилагайте чрезмерных усилий при установке имплантатов. 30Нсм, максимум. Для установки одиночной коронки при немедленной имплантации и немедленной нагрузке вполне хватает торка в 20 Нсм. А для протетической конструкции, объединяющей несколько имплантатов, хватит и 10 Нсм.
- Не игнорируйте остеопластику
- Не игнорируйте мукогингивопластику там, где она нужна.
- Старайтесь использовать винтовую фиксацию и оригинальные компоненты.
- Старайтесь использовать переключение платформ
Пожалуй, хватит.
Расскажите про фишки в ортопедии на Xive в эстетически значимой зоне?
Отвечает Александр Друзь Иван Алгазин:
Главной «эстетической» фишкой XIVE, по моему мнению, является принцип переключения платформы. Это можно описать как использование абатментов меньше (в месте стыка платформы), чем диаметр шейки импланта.
В свою очередь это влияет на увеличение объема мягких тканей и помогает создать более эстетичные конструкции. Кроме того, это снизит риски бактериального воздействия на область с дефицитом костной ткани и десны, что положительно скажется на долгосрочном результате.
Есть ли «карта ортопедии» — компонентов много, как быстро ориентироваться, что в каком случае использовать?
Отвечает Станислав Васильев:
Всё просто. Если вы работаете с имплантационной системой Xive, у вас на столе должны быть две книжки:
- Xive: руководство по ортопедии
- Xive: каталог продукции
Этого достаточно, чтобы во всём разобраться. И, на мой взгляд, это лучшее руководство для ортопедов по протезированию на имплантатах.
Кстати, эти книжки распространяются бесплатно, они должны быть у Вашего регионального представителя Xive. Ну, или звоните в «Симко«, Вам их пришлют!
Кроме того, есть сайт www.xive.ru, есть сайт компании Dentsply Sirona Implants. Там есть вся необходимая информация.
Ну и, в конце концов, есть мы с Иваном Алгазиным. Появились сложности в работе с имплантационной системой Xive? Welcome!
У меня есть случаи, когда после имплантации уходит десна, как это предотвратить?
Отвечает Станислав Васильев:
Если у вас есть такие случаи, значит, что-то вы делаете не так. Было бы неплохо посмотреть ваши работы, чтобы разобраться. А пока, я могу дать лишь общие рекомендации:
- правильно подбирайте и позиционируйте имплантаты.
- соблюдайте хирургический протокол
- не прилагайте много усилий для установки имплантата. Максимум, 30 Нсм.
- не игнорируйте костную и мягкотканную пластику там, где она нужна.
И всё будет хорошо.
Так как xive s субгингивальные,почему их устанавливают субкрестально, ведь происходит резорбция и в дальнейшем уменьшение костных сосочков и как следствие убыль тканей вокруг импланта?
Отвечает Станислав Васильев:
Причины две. С одной стороны, это непонимания правил позиционирования имплантатов и глубоко засевшие в голове стереотипа, с другой — это мода. Кто-то из очень умных и уважаемых показал несколько отличных работ с заглублением субгингивальных имплантатов, и все посмотревшие рванули это повторять, совершенно не задумываясь, а нужно ли это вообще.
Собственно, вот эти картинки я вам уже показывал:

А вообще, неплохо бы почитать инструкции к имплантатам. В частности, «Xive: руководство по хирургии». Всё же, его писали умные люди.
Как часто при немедленной нагрузке сразу устанавливаете постоянный индивидуальный абатмент и влияет ли это на лучше прикрепление сформированной десны и эстетику?
Отвечает Иван Алгазин:
Немедленная нагрузка подразумевает необходимость индивидуализации поддесневой части абатмента. Но делается это на временной конструкции с винтовой фиксацией. Постоянный абатмент при немедленной нагрузке использовать не рекомендуется, т. к. десневой контур будет меняться.
Отвечает Станислав Васильев.
Да, действительно, после удаления зуба и немедленной установки имплантата, происходит изменение объема окружающих имплантат тканей. Как бы мы ни старались их сохранить, что бы не делали — они будут меняться, причём точно предсказать объём этих изменений если не невозможно, то довольно сложно. Поэтому установка постоянных коронок или постоянных индивидуальных абатментов — это существенный риск даже в самых «предсказуемых», на первый взгляд, клинических ситуациях. Да, теоретически это возможно, но практически… не думаю.
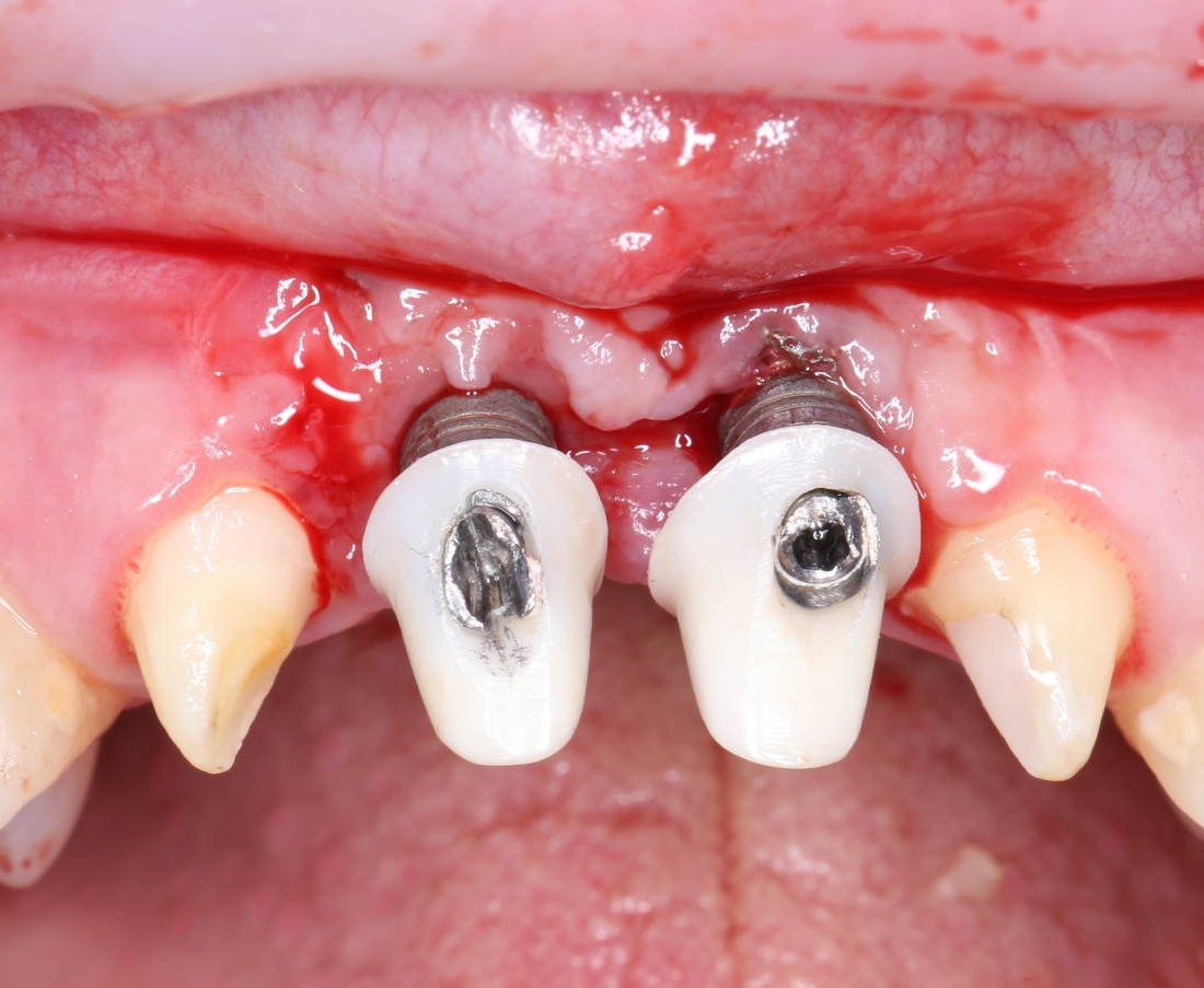
Вот пример. Причём, несколько лет назад кое-кто хвастался им в мире стоматологов. Типа, немедленная имплантация, индивидуальные циркониевые абатменты, коронки…:

В общем, не торопитесь никогда. Поспешишь — людей насмешишь.
Что думаете по поводу мукоинтеграции?
Отвечает Станислав Васильев:
Вы, наверное, об этом?

Это мистификация, если не сказать обман, последствия которой нам ещё предстоит огрести. И вот, почему
Для начала, вам следует знать, что проблема сращения слизистой и кожи с неорганическими материалами стоит очень остро и изучается очень давно. В первую очередь, в травматологии и ортопедии, поскольку она позволит создавать по-настоящему бионические протезы, управляемые мышцами. Но, фиг с ней, с медициной — это же путь создания кибернетических организмов! Представьте себе, какие перспективы открываются! Иными словами, первый, кто создаст достаточно эффективный и юзабельный мукоинтегрируемый материал, сразу получит Нобелевскую Премию.
Далее, обратите внимание, что «мукоинтеграция» — это запантентованный компанией термин (значок ТМ). Это позволяет ей назвать «мукоинтеграцией» всё, что они пожелают. Вы, кстати, тоже можете запатентовать какой-нибудь научный или наукоподобный термин, типа, «торсионные поля» и всерьёз исследовать их, писать статьи, бороться за авторские права и отжимать судебными исками бабки у серьёзных учёных, если пожелаете.
В общем, как принято в современном мире, кое-кто опять выдаёт желаемое за действительное. Верить всем подряд тоже не нужно. Даже мне.
Так как вы и Астрой и Анкилоз пользуетесь хотел бы спросить — Xive в основном используете в практике для немедленной нагрузки и одномоментной имплантации, судя по тому что увидел на семинаре они хорошо с этим справляются, или здесь сугубо по ситуации?
Отвечает Иван Алгазин:
Если выбирать из 3х систем (Astra-Ankylos-Xive), то я бы расположил их в следующем порядке по удобству использования при немедленной нагрузке (особенно при одномоментном удалении зуба):
1. XIVE. Самый удобный из 3х. Отличный макродизайн с активной резьбой для первичной стабилизации. Удобный компонент для прямого изготовления коронки — Esthetic Cap
2. Ankylos. Хорошая первичная стабильность, но металлический абатмент для коронки. Для прямого изготовления коронки не очень удобен
3. Astra. Отличная система для 2х-этапной имплантации, но меньше всего удобная для немедленной нагрузки.
Отвечает Станислав Васильев:
Да, нам в этом плане, повезло. Компания Dentsply Sirona Implants выпускает имплантационные системы под тремя разными брендами:

Учитывая то, что установка любого их этих имплантатов в нашей клинике стоит одинаково, у нас есть возможность выбирать имплантационную систему не по кошельку пациента, а исходя из клинических показаний.
Так, систему Astra Tech мы используем в случаях, если нам необходимо объединить несколько имплантатов в единую протетическую конструкцию (типа, всё-на-четырёх или всё-на-шести). Коническая платформа — прям радость для ортопеда. Однако, эта имплантационная система никак или почти никак не приспособлена для немедленной имплантации и немедленной нагрузки — поэтому в таких случаях стараемся использовать её как можно реже.
Главный плюс имплантационной системы Ankylos — возможность ставить имплантаты субкрестально, погружая их в костную ткань аж до 4,5 мм. Иногда это помогает избежать остеопластики — и это прекрасно. Почему бы не использовать их в этом случае?
Ну и, Xive… как я говорил на семинаре, имплантационная система создавалась с расчётом на немедленную имплантацию и немедленную нагрузку, имеет все необходимые для этого компоненты в хирургическом наборе и комплекте поставки. Конечно, в случаях немедленной имплантации и немедленной нагрузки, мы стараемся использовать именно её.
Конечно, это не значит, что диапазон применения наших имплантационных систем ограничивается вышеозначенными показаниями. При желании, можно поставить имплантат Astra Tech субкрестально, чтобы избежать остеопластики, а с имплантатами Ankylos проводить немедленную нагрузку и немедленную имплантацию… Но зачем делать что-то причудливо, если всё можно сделать проще, пусть и с другой имплантационной системой?
Заключение
Итого, друзья, в нашем ксайвбоксе набралось одиннадцать вопросов. Неплохо, для первого раза.
Конечно, каждому из них мы могли бы посвятить отдельную статью — тем более, что своими вопросами вы подняли действительно важные и актуальные темы. И теперь мы, Иван Алгазин, Группа компаний СИМКО, Dentsply Sirona Implants и я, Станислав Васильев, примерно представляем, о чём нужно писать и что нужно рассказывать на семинарах и лекциях. И, конечно же, мы будем стараться сделать имплантологию еще более понятной и доступной.
XIVEBOX теперь будет находиться в офисе компании СИМКО, изредка выбираясь на наши лекции и семинары. А мы продолжим отвечать на ваши вопросы здесь, в комментариях, в социальных сетях и т. д. Везде, где найдём хэштег #xivebox.
Спасибо вам!
С уважением, Станислав Васильев и Иван Алгазин.
























