На мой взгляд, размещать сегодняшнюю публикацию в рубрике «Сделано в CLINIC IN» не совсем правильно. Хотя бы потому, мы провели всю эту работу около 10 лет назад, когда стоматологический центр CLINIC IN не существовал даже в самых бурных эротических фантазиях. Тем не менее:
- лечение проводили наши доктора, а именно — Давид Ахинян и Станислав Васильев.
- эстетическую коронку изготовила зуботехническая лаборатория Dental Solutions и лично Эдди, с которыми мы и сейчас плодотворно сотрудничаем.
- пациентка (её зовут Наталья) в настоящее время наблюдается в нашем стоматологическом центре, ходит на профилактические осмотры, лечит кариес и т. д.
А это значит, что всё необходимое для успешной реализации подобного лечения сейчас находится в нашем стоматологическом центре CLINIC IN и, при необходимости, мы можем не только повторить подобную работу, но и сделать её лучше, безопаснее, красивее и надёжнее. В конце концов, мы растём, учимся, копим опыт, в стоматологию приходят новые материалы, методы, технологии…. Поэтому то, что раньше казалось очень сложным и дорогим, сейчас — вполне обычная работа.
Уважаемые друзья, сегодня мы покажем вам одну из первых наших работ, реализованных методом немедленной имплантации. Мы провели вместе с Давидом 10 лет назад — к счастью, Наталья осталась с нами, сейчас она благодарный и любимый друг CLINIC IN, поэтому мы наблюдаем за нашими имплантатами столь длительное время.
Конечно, за десять лет многое изменилось — поменялась даже форма имплантата, не говоря уже о переосмыслении и переоценке некоторых знаний, методов и технологий. Сейчас бы мы провели подобное лечение несколько иначе. Поэтому под каждым из этапом мы будем давать ремарки о том, как бы мы решали подобную стоматологическую проблему сегодня, в нашем стоматологическом центре.
По известной причине мы не можем предоставить вам данные дооперационного обследования — всё же, прошло больше десяти лет, они остались в той клинике, где мы когда-то работали. Признаться, мы и фотографии нашли случайно — разбирали своё домашнее порно, а таааааам….. Спасибо старым компакт-дискам, что хранят такую древность.
Итак, приступим.
Пациентку зовут Наталья, на момент обращения к нам ей было около 25 лет. В подростковом возрасте она получила травму зуба, после чего его пришлось депульпировать, чтобы вылечить развившийся периапикальный процесс. Некоторое время назад Наталья заметила, что зуб начал «подрастать» — он выдвинулся из прикуса, как будто стал длиннее, появилась подвижность, вокруг зуба периодически воспалялась и болела десна.
План обследования в 2011 году:

СЕЙЧАС: Мы бы сделали то же самое, с небольшой разницей — за компьютерной томографией пациенту не нужно никуда идти, стоять в очереди и т. д. Мы можем сделать конусно-лучевую компьютерную томографию в нашей клинике, и стоит она дешевле, чем стоила в 2011 году.
К сожалению, компьютерная томография показала нерешаемую проблему в виде объёмной гранулёмы и трещины корня. И если прикорневые кисты и гранулёмы сейчас успешно лечатся и не являются показанием для удаления зубов (Станислав Матлаев это прекрасно доказал), то трещины корня (особенно, продольные) мы лечить так и не научились. К сожалению, мы вынуждены этот зуб удалить.
В 2011 году мы только начинали заниматься немедленной имплантацией, до этого клинического случая сделав очень мало (меньше 10) подобных работ, не говоря уже о каких-то там долгосрочных наблюдениях.
СЕЙЧАС в нашем стоматологическом центре CLINIC IN мы ежегодно устанавливаем около тысячи имплантатов, чуть больше половины из них — во время операций немедленной имплантации. Также мы продолжаем наблюдать за пациентами, которым провели немедленную имплантацию больше 8-9 лет назад.
Поскольку зуб не подлежал лечению, совместно с Натальей мы приняли решение его удалить и заменить на имплантат. Причём немедленно.
Мы составили следующий алгоритм действий:

СЕЙЧАС: Мы бы сделали то же самое, однако одним из вариантов поставили бы немедленное протезирование, т. е. изготовление и фиксацию временной коронки на только что удалённый зуб.
Приступаем к операции.
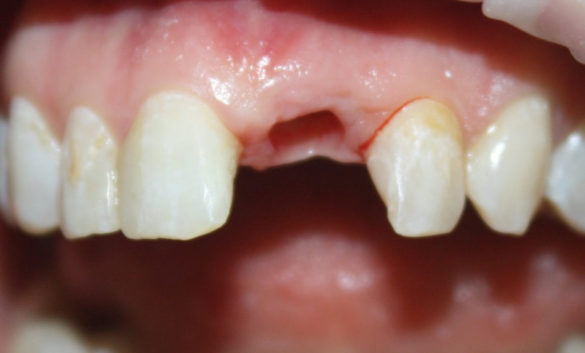
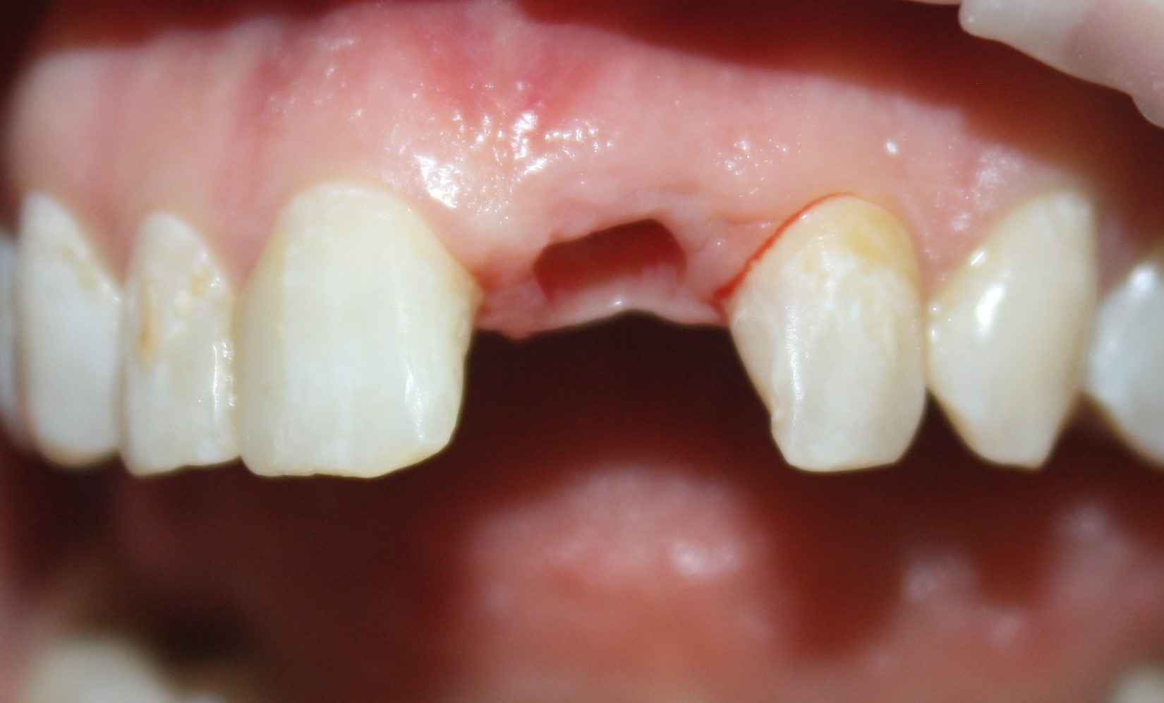
1. Удаление зуба
Во многом, возможность проведения немедленной имплантации зависит от качества операции удаления зуба — при рукожопном удалении можно не только лишить себя и пациента возможности быстрой установки имплантата, но и обрекаем на наращивание костной ткани в последующем, поскольку травматический дефект придётся восстанавливать. Вот почему мы уделяем этому так много внимания.
Да, раньше перед немедленной имплантации мы удаляли зубы вот таким образом, справедливо полагая, что всё (включая состояние вестибулярной стенки) должно находиться под визуальным контролем.
СЕЙЧАС мы не видим необходимости в подобных разрезах и, тем более — в скелетировании стенок лунки. Такой подход позволяет нам без лишних усилий сохранять контуры и форму альвеолярного гребня в области установленного имплантата.
Из-за трещины и последующего прикорневого воспаления в области верхушки зуба осталась большая киста (гранулёма). Чаще всего, они удаляются одновременно с зубом, но в этой клинической ситуации киста осталась в челюстной кости, и мы удалили её отдельным этапом.
Ранее мы считали, что наличие подобный воспалительных образований является противопоказанием к проведению немедленной имплантации. Но уже к моменту проведения этой операции (т. е. в 2011) мы знали, что они никак не остеоинтеграцию, зато влияют на первичную стабильность — при работе в таких условиях нужно особенно тщательно подбирать имплантат по размеру.
2. Выбор имплантационной системы.
В 2011 году мы выбрали для подобной работы имплантационную систему Astra Tech. Причина проста — на тот момент у нас был большой опыт работы с имплантатами Astra Tech, в то время как Xive (не говоря уже об Ankylos) мы только начинали познавать. Кроме того, все наши предыдущие операции немедленной имплантации (включая самую первую), мы провели именно с этими имплантами, поэтому свято в них верили.

СЕЙЧАС: Мы считаем, что даже существующая генерация (TX) имплантатов Astra Tech мало приспособлена для проведения подобного лечения. Кроме того, есть имплантационные системы, с которыми немедленная имплантация выходит проще, дешевле и надёжнее. Если бы мы проводили эту операцию сегодня, то выбрали бы имплантационную систему Xive.
3. Установка имплантата.
Мы установили имплантат согласно имплантологическому правилу #2 для резцов и клыков:
Крутящий момент во время установки имплантата — более 20 Нсм. Мы можем переходить к следующему этапу операции.
СЕЙЧАС: Имплантологическое правило #2 не потеряло своей актуальности (и не потеряет никогда, ибо это фундамент всего имплантологического лечения), поэтому мы следуем ему и сейчас. Тем не менее, сейчас на этом этапе мы внесли бы кое-какие коррективы:
- во-первых, мы крайне редко используем имплантаты Astra Tech диаметром 3.5 и 4.5 мм, поскольку тонкая стенка по окружности платформы у имплантатов этих диаметров не внушает доверия. Удобнее (и правильнее), на наш взгляд, было бы использование имплантата диаметром 5.0 мм.
- во-вторых, мы перестали использовать таблетки для лунок зубов Neocones хотя бы потому, что их сняли с производства. А еще потому, что они показали себя совсем уж бесполезными.
4. Сохранение десневого контура и превентивная мукогингивопластика.
Слово «превентивная» означает, что мы проводим мукогингивопластику, не имея для этого прямых показаний. Но предположив, что из-за атрофии форма и контуры альвеолярного гребня в области удалённого зуба будут меняться, мы заранее меняем биотип слизистой оболочки, чтобы при развитии атрофии сохранился естественный контур и форма альвеолярного гребня в области имплантата.
Этот этап проходил в следующем порядке.
- мы установили на имплантат формирователь десны 4.5х4 мм (в народе называется «зеброй»).
СЕЙЧАС: мы знаем, что для сохранения десневого контура лучше использовать временное протезирование, индивидуализируемые формирователи или, по крайней мере, стремиться к тому, чтобы диаметр формирователя десны приближался к диаметру лунки. Таким образом, на 90% можно избежать необходимости в превентивной мукогингивопластике.
- мы взяли полнослойный аутотрансплантат с небной поверхности в области 6-7 зубов, деэпителизировали его, получив таким образом ССТ.
СЕЙЧАС: мы бы взяли аутотрансплантат немного в другом месте (в области бугра верхней челюсти) или использовали Fibro-Gide, ксенотрансплантат Geistlich. Но, скорее всего, сосредоточились бы на правильном подборе и адаптации формирователя десны — и это позволило бы избежать мукогингивопластики как таковой.
- пересаженный лоскут зафиксировали до неподвижного состояния узловыми нерезорбируемыми швами.
- донорскую область заклеили специальным пластырем.
Можно продолжать.
5. Эстетическая реставрация дефекта зубного ряда на время лечения.
Мы не можем оставить Наталью без зуба, поэтому еще до начала лечения задумались над тем, как будем маскировать его отсутствие. Основным способом «маскировки» что тогда, что сейчас является изготовление фасетки, приклеенной к самим зубам — от маленьких съёмных протезов типа «бабочки» или «жучка» мы отказались много-много лет назад по целому ряду причин.
Ключевым преимуществом такого решения является возможность эстетической реабилитации даже тогда, когда имплантат не удалось установить (т. е. после обычного удаления зуба). Есть и недостатки — например, невысокая прочность, риск отклейки фасетки в самый неподходящий момент и т. д.
Зубы при этом не обтачиваются, а сама реставрация — не что иное, как пломба, большая композитная пломба, приклеенная к соседним зубам. Её изготовление занимает около получаса.
На фото выше — состояние послеоперационной раны на второй день после хирургического вмешательства. Вы хорошо видите, каким образом создана и фиксирована временная фасетка — с одной стороны, она не закрывает доступ к послеоперационной ране и швам, с другой — обеспечивает приемлемую эстетику на период лечения.
В таком состоянии мы оставили область операции на 3-4 месяца.
СЕЙЧАС: Как и написали выше, если бы при установке имплантата мы добились крутящего момента выше 15-20 Нсм, то сразу бы протезировали имплантат временной коронкой (т. н. немедленное протезирование только что установленных имплантатов). При меньшем уровне первичной стабильности или невозможности установить имплантат (например, вследствие разрушения стенок лунки или повреждения десны), мы бы провели эстетическую реабилитацию таким же способом. Иными словами, мы никогда и никого не оставляем без зубов даже на этапах лечения.
6. Период остеоинтеграции и протезирование, временное и постоянное.
Теперь нам нужно сделать перерыв до момента интеграции имплантата. Обычно она происходит за 3-4 месяца.

К моменту интеграции имплантата десневой контур выглядит следующим образом (фото через 3 месяца после операции):
Имплантат интегрировался, десны, вроде как, достаточно, но… это контур формирователя, но никак не естественного зуба. В таких условиях изготовление и фиксация даже очень дорогой керамической коронки вряд ли приведёт к приемлемому эстетическому результату. Хотя бы потому, что «естественность» зуба мы зачастую определяем по состоянию десны вокруг него. В зоне улыбки именно работа с мягкими тканями имеет решающее значение, их доведение до нужно состояния, формирование правильного контура прорезывания — задача, которую мы выполняем с помощью этапа временного протезирования.

Как отмечено выше, помимо формирования десневого контура, у временной коронки есть еще одно назначение — «испытание имплантата». Дело в том, что у нас нет возможности достоверно определить ни качество остеоинтеграции, ни степень перестройки костной ткани, ни прочность и корректность выбранной схемы протезирования до того, как имплантат будет нагружен. Временная коронка передаёт на имплантат адекватную физиологическую нагрузку, запускает процесс «ремоделирования» костной ткани, провоцирует её физиологическую атрофию и даёт возможность оценить, насколько приемлема выбранная нами схема протезирования — при этом, композитная временная коронка стоит недорого, легко корректируется и её всегда можно снять, переделать, поправить и т. д. Другими словами, основные процессы морфологической и физиологической перестройки альвеолярного гребня, включая восстановление жевательной функции, должны пройти на этапе временного протезирования. Так, чтобы к моменту установки постоянной коронки все связанные с восстановлением нагрузки изменения закончились.
СЕЙЧАС: мы делаем тоже самое — при отсроченном протезировании или немедленной имплантации без немедленной фиксации коронки, этап временного протезирования принят за стандарт с очень-очень-очень редкими исключениями.
В период с 6 до 12 месяцев после временного протезирования, мы готовим Наталью к изготовлению и фиксации постоянной керамической коронки.
На этом этапе контур десны выглядит совершенно иначе:
При такой клинической картине мы уверены, что все изменения после фиксации постоянной коронки будут крайне незначительными. Поэтому можем приступать к изготовлению и установке эстетической керамической коронки с опорой на имплантат.
На наш взгляд, мастерство зубного техника, его уровень и квалификацию лучше всего демонстрирует «естественность» и «соответствие» изготовленных им зубных протезов. Ежу понятно, что сделать полный рот ярко-белых одинаковых зубов сможет любой студент, мало-мальски владеющий компьютерной программой для моделирования зубов. В то время как сделать зуб естественным, да еще с индивидуальной колористикой, намного-намного сложнее. А это очень важно — каким-бы красивым ни был зуб, если он будет цветом, фактурой, какими-то мелкими элементами (пигментными пятнами, трещинками и т. д.) отличаться от соседних — это будет, что называется, резать глаз и выдавать его искусственное происхождение. Мы ценим наших зубных техников (а у нас целых четыре лаборатории на выбор) и платим им оооогромные деньги именно за умение делать не столько модные ярко-белые одинаковые, сколько индивидуальные и очень естественные зубы.
И вот, наш друг и партнёр Эдди сделал для Натальи коронку на имплантат в области центрального резца. Наталье она понравилась, оказалась очень удобной и, что самое главное, вполне естественной. Вот так она выглядит через 10 лет после описанных выше манипуляций, если хотите, более подробно и со снимками:

Сравните это с тем, что был ДО ЛЕЧЕНИЯ и на этапах временных реставраций и протезирования:

Неплохой результат для работы десятилетней давности, правда?
В итоге…
Мир постоянно изменяется, появляются новые технологии, материалы, оборудование, совершенствуются методы лечения и способы решения клинических задач. Растёт компетенция, переоценивается и переосмысливается опыт, во многом — за счёт подобных длительных наблюдений за развитием клинической ситуации.
Если детально рассмотреть проведённое нами лечение, можно ли утверждать, что мы всё сделали правильно? Однозначно ответить на этот вопрос нельзя.
Посмотрев на довольную Наталью, стабильную морфофункциональную ситуацию и приемлемый эстетический результат, можно подумать, что всё было сделано правильно.
Однако, сейчас, в нашем стоматологическом центре CLINIC IN мы бы спланировали и провели эту работу совершенно по-другому:
- быстрее (одновременно с немедленной имплантацией провели бы немедленное протезирование)
- проще (немедленное протезирование позволило бы нам сохранить десневой контур без дополнительной мукогингивопластики)
- надёжнее (мы бы использовали другую, более приспособленную для подобного лечения систему имплантатов)
- дешевле (за счёт немедленного протезирования мы бы отказались от отсроченной установки временной коронки)
- эстетичнее (за счёт внедрение метода Matisse в практику)
одним словом, намного лучше и правильнее.
В конце концов, что-то усложнять — это просто, усложнять можно до бесконечности, но вот упрощать изначально сложные вещи — в этом и заключается понятие компетенции в нашем представлении.
Если мы это делали уже 10 лет назад — представьте, что мы можем сделать сейчас.
Спасибо!
С уважением, Станислав Васильев, Давид Ахинян, стоматологический центр CLINIC IN.






























