Итак, вы планируете консультацию стоматолога. В настоящее время сложно представить человека, который не посетил бы этого доктора хотя бы раз в жизни. Стоматология, включая лечение зубов, протезирование, хирургию полости рта, имплантологию, да и просто профессиональную гигиену, остаётся самой востребованной медицинской специальностью. И, как результат этой востребованности — огромное количество стоматологических клиник, кабинетов и врачей, предлагающих свои услуги.
Как не ошибиться? Как сделать так, чтобы с первой минуты общения с доктором вы не теряли нить взаимопонимания, получили ответы на все вопросы и остались довольны качеством консультации? Об этом речь пойдёт ниже.
Из пункта А в пункт Б… или что нужно знать до консультации?
Помните, в школе нам приходилось решать такую задачку:
«… из пункта А в пункт Б выехал автомобиль со средней скоростью +100500 километров в час…. «

где по исходным данным, произведя какие-то расчёты, мы должны были дать правильный ответ? И, чем больше данных нам было дано в условии задачи, тем большим количеством вариантов, тем проще было нам её решить?
Попробуем экстраполировать это на консультацию и/или стоматологическое лечение. Представим их в виде простой математической задачки:

Пункт А.

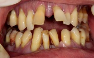
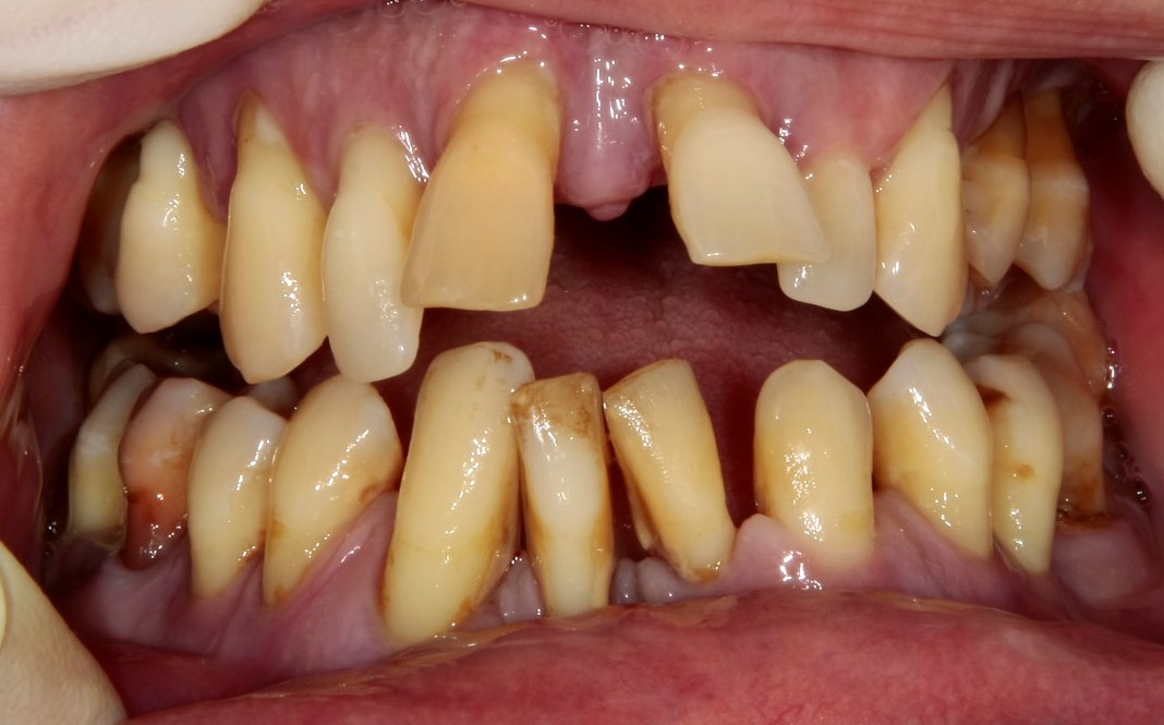
Это изначальная ситуация, та клиническая картина и те проблемы, с которыми вы приходите к доктору. И она может быть самой разнообразной, от полной катастрофы до вполне приемлемого состояния полости рта, когда требуется лишь профессиональная гигиена.
Как правило, проблемы с зубами не появляются мгновенно, а развиваются и накапливаются годами. До определенного момента, вы и ваш организм с ними справляется, а потом… приходит время обратиться к врачу.
Каким бы тяжелым ни было состояние вашей полости рта, чтобы бы ни происходило с вашими зубами — всегда помните, что всё можно исправить.
Но, для того, чтобы это сделать, необходимо собрать как можно больше информации о пункте А. И, если в географическом смысле этой информацией будут широта-долгота-высота:

то для чёткого понимания изначальной клинической картины нам может потребоваться кое-какое обследование:
Пункт Б.

Это конечная цель путешествия автомобиля из математической задачки, а в нашем случае — желаемый результат лечения. Как и у пункта А, у него тоже есть некоторые координаты, которыми его можно описать. Причём, предельно ясные, для понимания. Пункт Б, по сути, основывается почти исключительно на Ваших пожеланиях и потребностях — и в этом плане стоматолог не может решить за вас, какие зубы вам нужны. Врач может лишь предложить варианты пункта Б (результата лечения) на выбор, рассказать о способах достижения этого результата, его плюсах и минусах, но никогда-никогда не скажет: «Я доктор, мне лучше знать, что вам нужно!»
Но и вы, уважаемые друзья, должны представлять, хотя бы примерно, что вы хотите получить в результате стоматологического лечения. Мы, доктора, действительно можем многое, но чему точно никогда не научимся, так это умению читать чужие мысли.
Поэтому, чем подробнее и детальнее вы расскажете врачу о своих пожеланиях и требованиях, тем понятнее будет план их достижения.
… из пункта А в пункт Б
По сути, роль врача сводится лишь к тому, чтобы комфортно и безопасно довести вас, дорогие пациенты, из пункта А (изначальной клинической ситуации) в пункт Б (желаемому результату стоматологического лечения). Причём, нужно помнить, что не существует единственно верного пути — всегда есть масса вариантов решений одной и той же клинической задачи:
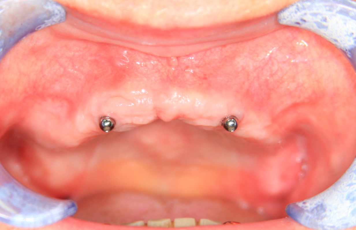
В качестве примера возьмём двух пациентов с одинаковой клинической ситуацией — полным отсутствием зубов на одной из челюстей.

Вроде бы, одинаковая клиническая ситуация, но….
- первый пациент — это 85-летняя бабушка, которая последние тридцать лет пользовалась съемным протезом. И всё бы хорошо, но со временем, из-за атрофии челюстей, съёмный протез на одной из челюстей начал выпадать. И это даже несколько раз ставило её в неудобное положение перед соседками по даче. Вот она и обратилась к стоматологу с просьбой сделать что-нибудь, чтобы протез не вылетал.
- второй пациент — это 45-летний мужчина, оставшийся без зубов из-за быстро прогрессирующего пародонтита. Вроде как, еще вчера у него были зубы, а сегодня бах! — и нет зубов. Это обстоятельство поломало ему жизнь и загнало в депрессию, испортило личную жизнь и т. д.: «Меня девчонки не любят! Кому охота встречаться с беззубым мужиком?» И вот, он обращается к стоматологу с просьбой: «Верните зубы! Такие, чтоб как настоящие!»
Смотрите сами. По сути, у нас есть два пациента с идентичной клинической ситуацией. Но будут ли у них одинаковыми планы лечения? Конечно нет!

Почему? Потому что пункт Б (ожидаемый результат лечения), формируемый на основе жалоб и пожеланий пациентов, будет разным.
Напомню, что 85-летнюю бабушку беспокоит то, что у неё съёмный протез выпадает. С учётом её возраста и состояния здоровья, её необходимо простое и наименее травматичное решение. Поэтому мы поставим бабушке два имплантата со специальными замками, к которым будет фиксироваться съёмный протез.

И всё! Протез не выпадает, бабушка счастлива!
Тут есть еще один бонус. Поскольку протез теперь держится за счёт имплантатов, а не «вакуума», мы можем убрать пластик с нёба и значительно уменьшить его размер. Сам протез перестал болтаться, стал более удобным. Бабушка счастлива вдвойне!
Что будет, если мы предложим её другой, более «серьёзное» лечение? Например, установку 4-6 имплантатов и несъёмную конструкцию? С точки зрения врача и, возможно, здравого смысла, безусловно, этот план лучше: он позволяет избавиться от съемных протезов, повысить качество жизни пациентки и т. д., но… с усложнением неизбежно повышаются риски, вероятность осложнений, что в возрасте 85 лет и старше, вряд ли положительно скажется на здоровье нашей бабушки. К тому же, получается, что мы «навязали» ей то, что мы хотим, игнорируя её пожелания. Кто мы после этого, а?
Займёмся вторым пациентом, 45-летним мужчиной. Напомню, что он остался без зубов в самый неподходящий момент времени, когда, если можно так выразиться, у всех мужиков только жизнь начинается.

Что будет, если мы предложим ему такой же план лечения, как предыдущей пациентке, а именно: съёмный протез с фиксацией замками на двух имплантах? Вряд ли это вернёт его к полноценной жизни. Скорее всего, услышав слово «съемный», он сразу вспомнит бабушкины «чавкалки» и тут же уйдёт в другую клинику. А потом еще будет рассказывать, что «в той клинике работают одни лошары«.
Поэтому мы разработаем для него другой, более вменяемый план лечения — несъемная конструкция с опорой на 6-8 имплантатов. Максимально естественная и функциональная. Только тогда 45-летний мужчина будет счастлив, только так мы вернём ему прежнее качество жизни. И никак иначе.
Таким же образом можно, в виде задачи «Из пункта А в пункт Б» можно рассмотреть и разрешить любую клиническую ситуацию, от простой профессиональной чистки зубов до сложного комплексного лечения, требующего участия целой команды специалистов. Важно лишь помнить, что в центре этой задачи стоите вы, пациенты, — и мы, доктора, рассматриваем ВАШУ клиническую ситуацию и выполняем ВАШИ пожелания, в меру своих возможностей и с учётом здравого смысла.
Поэтому, уважаемые пациенты, мы разработали для вас несколько рекомендаций, следуя которым вы сделаете предстоящую консультацию со стоматологом максимально обстоятельной, продуктивной и информативной.
- Роль пациента в лечебном процессе больше, чем просто открыть рот и оплатить счёт. Пациент — это самый главный участник лечебного процесса. Все важные решения принимаются либо пациентом, либо совместно с ним. Будьте готовы к тому, что с вами будут обсуждать каждый шаг лечения, а вам много раз придётся делать выбор между различными методиками и способами стоматологического лечения.
- Чтобы правильно сделать выбор, вы должны, как минимум, быть «в теме«. Конечно, врач ответит на ваши вопросы, подскажет наиболее верный путь и убережёт от ошибок, но вы должны помнить, что выбор — это еще и ответственность. Поэтому, чем больше вы знаете, тем лучше, в первую очередь, для вас.
Поэтому не стесняйтесь задавать как можно больше вопросов, используйте любую возможность узнать больше о манипуляциях, которые Вам предстоят. Например, почитать про имплантаты можно как здесь, на нашем сайте, так и на www.implant-in.com, ресурсе, целиком посвященном имплантации зубов. - Выше, на примере двух пациентов, мы показали, как меняется план лечения в зависимости от причины обращения к стоматологу. Поэтому, чем больше вы расскажете доктору о себе и своих пожеланиях, тем больше будет соответствовать им план лечения. Следовательно, при его реализации вы получите именно тот результат, какой и планировали.
- Для того, чтобы подобрать вам индивидуальный и максимально точный план лечения (читай, маршрут), нужны, как в математической задаче, данные о пунктах А (изначальная клиническая ситуация) и Б (желаемый результат). Данные пункта А появляются после проведения нужных диагностических манипуляций и консультаций соответствующих специалистов. Всё это можно провести в нашей клинике. Данные пункта Б — это, в первую очередь, ваши пожелания и задачи, которые вы ставите перед докторами. Чем более конкретными они будут — тем точнее будет составляемый план лечения, тем выше шансы получить то, что вы хотите.
Поэтому, еще до начала консультации, задайте себе вопрос: «Какой результат стоматологического лечения я хочу получить?» и попробуйте на него ответить. А мы постараемся, чтобы ваш ответ был реализован в лучшем виде. - Не всё можно выяснить на первой консультации. Хотя бы потому, что некоторые виды диагностических исследований требуют времени на подготовку (например, изготовление диагностических моделей). Возможно, вам потребуется не одна, а две или три консультации для составления полного плана комплексного лечения. Но тут уж такой принцип — семь раз отмерь, один отрежь. Лучше всё обсудить заранее.
- Всегда есть выбор. Не существует единственно верного решения, особенно в сложных случаях. И этот выбор должны сделать вы, уважаемые пациенты. А врач лишь поможет вам не ошибиться.
- Учитывая, что не существует единственно верного решения, каждый из консультирующих вас врачей может предложить вам свой вариант плана лечения. Потому что каждый доктор думает в меру своего опыта, компетенции и квалификации. Не нужно делить планы разных врачей на «правильные» или «неправильные». Выбирайте тот, который подходит именно вам.
- Ну и, самое главное — всегда стремитесь узнать больше. Если вам что-то непонятно — приходите еще на одну консультацию. А потом, еще на одну. По идее, перед началом лечения у вас, дорогие друзья, вообще не должно остаться вопросов без ответов. Вы должны ясно и чётко представлять себе, чем закончится ваше лечение, и насколько предложенный вам результат совпадает с желаемым.
Всё это мы можем обсудить с вами на очной консультации. Её стоимость в нашем центре CLINIC IN составляет от 0 до 2000 рублей (рентгенодиагностика и оттиски в стоимость не входят). Уточнить детали можно здесь>>, а записаться на приём — здесь>>.
Спасибо за внимание!
С уважением, Станислав Васильев, шеф CLINIC IN.

























