МЕТОДЫ и ТЕХНОЛОГИИ современного имплантологического лечения
Самое главное и важное, о чём вы должны знать — в нашем стоматологическом центре крайне негативно относятся к экспериментам над пациентами, поэтому в своей практике мы используем только проверенные методики, имплантаты и биоматериалы.
И ничего больше.
Что вообще нужно знать о методах имплантации?
В первую очередь то, что имплантация — это всего лишь часть комплексной стоматологической реабилитации. И то, что установка имплантата неотделима от его последующего протезирования. Без него любая, даже самая крутая и самая сложная имплантологическая операция бесполезна.
Второе — это то, что схема имплантации привязывается к схеме протезирования. Другими словами, решение о том, какие будут имплантаты, куда их поставить и в каком количестве, принимает тот, кто будет их протезировать. В нашем случае, это врач-ортопед.
Третье и, пожалуй самое главное — после интеграции имплантат нужного размера должен оказаться в нужной точке зубного ряда — только так его можно нормально протезировать. Но из-за дефицита костной ткани это не всегда возможно — именно поэтому мы прибегаем к различным методикам «наращивания» костной ткани и десны.

Четвертое — любая хирургическая операция (в т. ч. имплантация) должна быть целесообразна и рациональна. Иначе говоря, должна наносить организму как можно меньшее травматическое воздействие. Чем проще вмешательство (с соблюдением всех вышеозначенных пунктов, разумеется), тем меньше будет проблем в ближайшем и отдалённом послеоперационном периоде.
Поэтому, выбирая метод имплантации в конкретном клиническом случае, мы отталкиваемся от простого тезиса:
Как добиться наиболее качественного результата лечения наиболее простым и наименее травматичным способом?
По сути, весь ход мыслей врача на этом этапе — это поиск наиболее простого и рационального решения, кратчайшего пути из пункт А в пункт Б, о которых мы уже много раз говорили.
Какие существуют виды имплантации?
Удивительно, но их не так много. И все они есть на этой схеме (кликните курсором на картинку, если плохо видно):
Давайте рассмотрим эти методики чуть более подробно:
Отсроченная имплантация
То, что иногда называют «классической» имплантацией, обычно проводится через некоторое время после удаления зуба. При этом, минимальный срок, при котором возможна установка имплантата после удаления — 6-8 недель.
Её схема выглядит примерно так (нажмите на картинку, если плохо видно):
Самое главное преимущество отсроченной имплантации — высокая интраоперационная предсказуемость. Это значит, что начиная операцию имплантации, мы точно знаем, что закончим её так, как планировали (при правильно проведенном предоперационном обследовании, разумеется). Отсроченная имплантация, в основном, предполагает поддесневое заживление имплантата, поэтому отлично сочетается с остеопластическими процедурами, не требует высокой стабильности имплантата (возможна при 0 Нсм) и какой-то особой осторожности и рекомендаций в послеоперационном периоде.
Что же касается минусов, то это, в первую очередь, длительный срок лечения и более высокая стоимость, в сравнении с немедленной имплантацией — все же, три операции стоят больше, чем одна. Кроме того, ожидание заживления лунки даже в течение 1-2 месяцев приводит к атрофии альвеолярного гребня в области будущей имплантации, что может потребовать как остео-, так и гингивопластики на последующих этапах.
Отсроченная имплантация в эстетически значимой зоне требует изготовления временных протезов с опорой на соседние зубы, что также не всегда удобно для пациента.
В остальном, это надежная методика, обладающая, к тому же, широким диапазоном возможностей и обеспечивающая хороший результат стоматологической реабилитации.
Отсроченная имплантация с одномоментной пластикой костной ткани.
Длительное отсутствие зубов приводит изменению линейных размеров и формы альвеолярного гребня — атрофии. Также к ней может привести неаккуратная процедура удаления зубов, длительно существующий воспалительный процесс и т. д. Причём, согласно нашим наблюдениям, наиболее активно изменение объемов кости и десны в области отсутствующих зубов происходит в первые несколько месяцев после удаления, затем скорость атрофии замедляется.
На степень атрофии также влияет биотип костной ткани — чем плотнее костная ткань, тем больше она подвержена атрофическим изменениям. Подробнее об этом можно почитать здесь>>.
Степень утраты кости может быть такой, что главное правило имплантологии — установка имплантата нужного размера в нужное положение, — становится невыполнимым. В этих случаях прибегают к так называемой «остеопластике«, наращиванию костной ткани в области имплантата.
Современные методики и возможности CLINIC IN позволяют проводить остеопластику одномоментно с имплантацией. Как это можно сделать — читайте здесь>> или здесь>>.
Важное условие успеха остеопластической операции, герметичность послеоперационной раны, как раз выполняется при отсроченной имплантации.
Схема такого лечения выглядит так (нажмите на картинку, если плохо видно):
В случае, если невозможно добиться стабильности имплантата в существующем (атрофированном) объеме костной ткани, то остеопластическая операция проводится отдельным этапом. Но это уже другая история. Почитать об остеопластике можно на соответствующем разделе нашего сайта или на IMPLANT-IN.COM
Отсроченная имплантация с синуслифтингом
Синуслифтинг — самая распространенная остеопластическая операция в мире. По нашей статистике, при имплантации в боковом участке верхней челюсти, синуслифтинг необходим, приблизительно, девяти пациентам из десяти.
Подробнее почитать об этой операции можно здесь>> или здесь>>.
Синуслифтинг очень хорошо сочетается с отсроченной имплантацией, а иногда позволяет проводить немедленную нагрузку — сразу установить формирователь десны.
Схема такого лечения аналогична предыдущей, ведь синуслифтинг — это тоже остеопластическая операция, требующая соблюдения тех же правил и рекомендаций.

формирователи десны могут быть как индивидуальными (слева), так и стандартными (справа). При отсроченной имплантации мы используем, в основном, стандартные формирователи.
В случае, если объем костной ткани между верхнечелюстной пазухой и полостью рта не позволяет нормально стабилизировать имплантат, синуслифтинг проводится отдельным этапом. Почитать об этом можно в разделе «Хирургия полости рта» нашего сайта или на IMPLANT-IN.COM
Отсроченная имплантация с одномоментным формированием десны
В случае, если состояние и объём слизистой оболочки позволяют сразу формировать десну вокруг имплантата, это можно провести одновременно с отсроченной имплантацией.
Для этого используются специальные супраструктуры — формирователи десны. В зависимости от ситуации, они могут быть как стандартными, так и индивидуальными. При отсроченной имплантации используются,
В некоторых случаях можно провести гингивопластику и формирование десны одномоментно с отсроченной имплантацией. Изменение биотипа десны в сторону её утолщения — хороший способ не только добиться лучшей эстетики, но и снизить риски развития периимплантита.
Выглядит это так:
Впрочем, чаще формирование и пластику десны мы проводим отдельным этапом — так получается более прогнозируемый результат. Подробнее почитать об этом можно в разделе «Хирургия полости рта» нашего сайта.
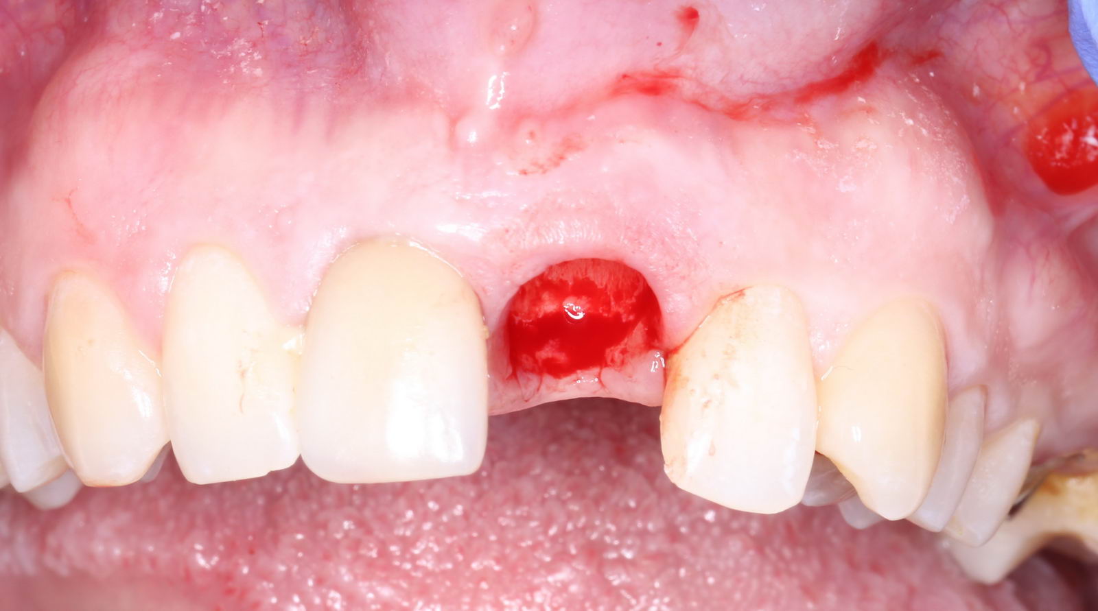
Немедленная имплантация.
Если вокруг лунки удаляемого зуба существует достаточный для стабилизации имплантата объём костной ткани, отсутствует острое воспаление (боли, отёк и т. д.), то имеет ли смысл ждать регенерации лунки? Или лучше совместить её регенерацию с остеоинтеграцией имплантата?
Всё чаще задавая такие вопросы, мы пришли к так называемой методике «немедленной имплантации» — установке имплантата в лунку только что удалённого зуба.
Выглядит это так:
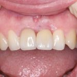
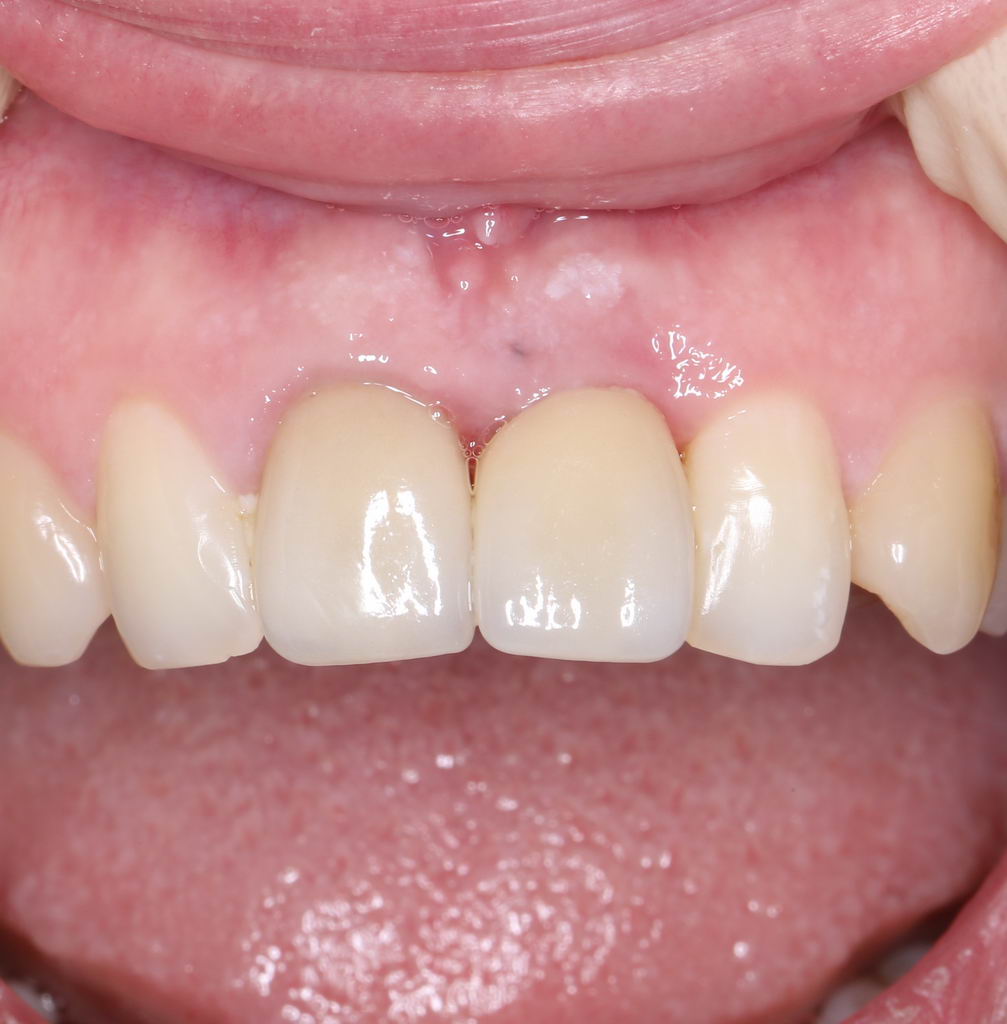
У данной методики есть целый ряд преимуществ — уменьшается время и стоимость стоматологического лечения, результат получается более эстетичным и функциональным за счёт меньшей атрофии альвеолярного гребня и быстрого восстановления нагрузки на участок зубного ряда. Кроме того, нередко мы можем провести полное восстановление зуба (правда, временной реставрацией) в один приём. Благо, все возможности для этого у нас есть.
Вместе с тем, главными минусами немедленной имплантации являются низкая интраоперационная предсказуемость и сильная зависимость от качества удаления зуба. Другими словами, мы принимаем решение об установке имплантата только после того, как зуб удалён, а само качество его установки зависит от того, насколько хорошо мы умеем удалять зубы. Вполне может оказаться, что после удаления, у нас пропадёт возможность установить имплантат — и иногда такое случается. В этом случае, операция заканчивается как обычное удаление, а через 1-2 месяца проводится отсроченная имплантация.
Подробнее почитать о немедленной имплантации можно на сайте IMPLANT-IN.COM.
Немедленная имплантация с одномоментным синуслифтингом.
Пожалуй, синуслифтинг — единственная остеопластическая операция, с которой безопасно может сочетаться немедленная имплантация. И связано это, в первую очередь, с изоляцией графта от внешней среды, которой не мешает даже наличие лунки зуба.
Выглядит это также, как и обычная немедленная имплантация с дополнительным этапом — синуслифтингом. Срок лечения — такой же, как при обычной имплантации — 12-16 недель, всё укладывается в одну хирургическую операцию.
Данное вмешательство актуально для дальних зубов верхней челюсти (пятёрок, шестёрок и семёрок), при выполнении ряда условий, характерных как для немедленной имплантации, так и для синуслифтинга. Подробнее об этом можно почитать здесь>>
Немедленная имплантация и превентивная аугментация лунки
Как ни странно, но даже после немедленной имплантации происходит атрофия лунки, пусть и в меньшей степени. Особенно это актуально для эстетически значимой зоны — четвёрок, клыков и резцов. Поэтому нередко, одновременно с удалением зуба и установкой имплантата в лунку, мы проводим т. н. «аугментацию лунки», с целью сохранить её форму.
Выглядит это так:
Данная операция проводится с использованием специальных биоматериалов и, повторимся, актуальна для эстетически значимой зоны. Подробнее об этом можно почитать здесь>>
Немедленная нагрузка — что это вообще такое?
По сути, немедленная нагрузка — это не совсем верный перевод с английского термина «immediate loading», подразумевающего не только «нагрузку», но и «загрузку», «подключение» и т. д. Иначе говоря, любая супраструктура, будь то формирователь десны, абатмент или коронка, являются «loading», а в случае с немедленной имплантацией — «immediate loading».
Установка формирователя десны, стандартного или индивидуального — это «классическое» завершение операции немедленной имплантации, поскольку, при условии хорошей стабильности имплантата и отсутствии проблем со слизистой оболочкой, разумно проводить формирование десневого контура одновременно с интеграцией имплантата. Фактически, это даёт возможность объединить все хирургические этапы в одну операцию, через несколько месяцев установить на имплантат коронку (для этого даже не требуется анестезия) и завершить лечение с минимальной травмой и максимальным результатом.
Но это еще не всё. Не каждый пациент готов оставаться без зуба на период проведения имплантологического лечения. Поэтому в некоторых случаях мы можем зафиксировать на только что установленный имплантат временную коронку, замок или даже целый временный протез:


Таким образом, мы добиваемся улучшения качества жизни наших пациентов в кратчайшие сроки. Не говоря уже о том, что сокращение этапов стоматологического лечения приводит к уменьшению его стоимости.
Однако, не всё так радужно и не всё так просто. Немедленная имплантация, особенно в сочетании с немедленной нагрузкой, требует соблюдения целого ряда условий, а именно:
— отсутствия острого воспалительного процесса
— малотравматичного удаления зуба и, как следствие, сохранение окружающих лунку кости и десны
— приемлемого состояния слизистой оболочки вокруг будущего имплантата
— достаточной (не менее 20 Нсм) стабильности имплантата
— наличия слаженной командной работы и всех необходимых для данной процедуры компонентов и инструментов. Благо, в CLINIC IN всё это есть.
Почитать о немедленной нагрузке можно здесь>>. А можно посмотреть Instagram нашего протезиста, Ивана Алгазина и почитать раздел «Протезирование зубов», где много (или должно быть много) информации о данной процедуре.
Что можно «прикрутить» к имплантату сразу после его установки?
Имплантат — это еще не сам зуб. Имплантат — это универсальная опора, к которой можно зафиксировать всё, что угодно:

Используемые нами имплантаты, Astratech, Ankylos, XiVE, в сочетании с опытом и квалификацией наших докторов, позволяют решать широчайший диапазон клинических задач — до немедленной имплантации и немедленной нагрузки до сложного многокомпонентного протезирования с опорой на имплантаты.
Что делать, если вдруг сломался зуб, и нет возможности его восстановить?
Мы можем удалить его, сразу установить имплантат, в некоторых случаях — сразу с временной коронкой:

Если временную коронку установить невозможно (низкая стабильность имплантата или боковой зуб), можно ограничиться формирователем десны, а для эстетически значимой зоны сделать временный протез с опорой на соседние зубы:

Что делать, если слетает полный съёмный протез?
Можно установить два имплантата с замками в определенные участки зубного ряда и фиксировать съемный протез к этим замкам:

А можно пойти и дальше — поставить, четыре-шесть имплантов и сделать несъёмный:

В общем, уважаемые друзья, имплантация -это, прежде всего, способ создания опоры для фиксации зубных протезов. Опора универсальная, надёжная и долговечная. Современная имплантология позволяет решать задачи, которые еще недавно казались нерешаемыми:
Как вернуть прежнее качество жизни человеку, утратившему зубы?
С имплантацией это возможно. Раз и навсегда!




















Комментарии
Пока нет комментариев.