Уважаемые друзья, я много раз рассказывал вам про имплантацию и имплантаты. В частности, на этом сайте есть целый цикл статей, посвящённый рекомендациям по установке имплантатов:
- Часть I — о том, от чего зависит качество имплантологического лечения. Особенно рекомендована пациентам. И тем, кто думает, что немецкие имплантаты лучше корейских. И наоборот.
- Часть II — критерии выбора имплантационной системы для хирургической практики. Что на самом деле важно, если речь идёт о покупке имплантационной системы? И на что можно забить?
- Часть III — микро- и макродизайн имплантационной системы. Вообще, чем имплантаты разных марок отличаются между собой?
- Часть IV — хирургический протокол — формальность или правило? Нужно ли его соблюдать? И что будет, если не соблюдать?
- Часть V — самая важная. Ибо про позиционирование имплантатов. Напомню, что наибольшее количество косяков и ошибок имплантации — это ошибки подбора и позиционирования имплантата.
- Часть VI. Установка имплантата Astra Tech. С учётом предыдущих, это довольно примитивная статья, посвященная мануалу установки имплантата системы Astra Tech Osseospeed TX. Полезная штука для тех, кто считает, что круче Astra Tech ничего нет, ибо прекрасно разочаровывает.
- Часть VII. Установка имплантата Xive. Без комментариев)).
При всём разнообразии информации, посвящённой имплантатам и имплантологическому лечению, вопрос формирования и сохранения десневого контура освещён довольно скудно. Причём, не только с имплантационной системой Xive, но и вообще.
В 2016-2017 годах, используя различные компоненты для формирования десны из имплантационной системы Xive, мы провели любопытное исследование, которое показало всю противоречивость современных подходов к мукогингивопластике, особенно при немедленной имплантации. Поэтому поводу, я даже делал доклад на русском преконгрессе в Ницце, но из-за дефицита времени его сильно порезали и он получился очень унылым (хотя, на общем фоне унылости никто этого не заметил).

И действительно, полтора года работы и полторы сотни пациентов затолкать в какие-то 20 минут — этого явно недостаточно, если мы хотим хотя бы вскользь прокатиться по обсуждаемой теме.
Поэтому какое-то время назад я даже думал о том, чтобы пригласить всех интересующихся к нам в клинику, показать и рассказать о том, правильно отформировать десневой контур при имплантации, при этом, не кромсая пациента на лоскуты.
И вот, у меня появилась такая возможность.
Компания «Симко» оказала мне большую честь и предложила выступить на их стенде в рамках выставки ДенталЭкспо.
Первоначально, я хотел рассказать вам про Geistlich Biomaterials и будущее биоматериалов, но потом подумал: «Какого хрена?». В конце концов, про Bio-Oss, Bio-Gide и Mucograft вы можете узнать на RegenerationDay, про черты будущего я уже писал, а про формирование десны и формирователи — нет.
Поэтому, пока есть возможность и пока меня отовсюду не выгнали, я расскажу вам про
ФОРМИРОВАНИЕ И СОХРАНЕНИЕ ДЕСНЕВОГО КОНТУРА: стандартные и расширенные решения на примере имплантационной системы Xive
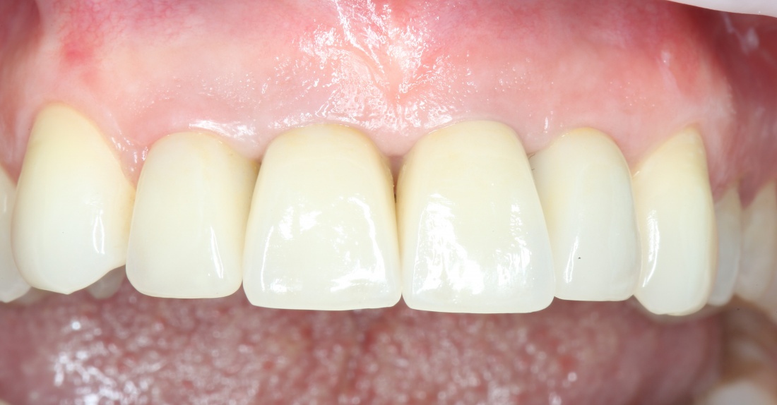
А точнее, я покажу вам, как сделать такое:

без геморроя и лишнего травматизма.
Или о том, как при немедленной имплантации можно обойтись без ССТ или СДТ:

Итак, уважаемые друзья,
я жду всех интересующихся на стенде группы компаний «СИМКО» (Павильон 2 Зал 8 стенд В7)
24 сентября в 11-00.
Приходите, будет очень интересно.
С уважением, Станислав Васильев.























