
25 апреля. Новосибирск. «ОСТЕОПЛАСТИКА: разговор на равных»
Две причины, по которым стоит посетить этот семинар

Две причины, по которым стоит посетить этот семинар

Превед. Кого тошнит от слова «пиар» — пожалуйста, проходите мимо. Потому что именно этим я буду сейчас заниматься.

На этот раз #XIVEDAY расширяет географию — лекции пройдут 20 февраля в Москве (учебный центр «Симко») и 21 февраля в Нижнем Новгороде (отель «Ока»).

Заседание хирургической секции Российского Стоматологического Общества и ставший уже традиционным #XIVEDAY

Что будет, если практическим врачам доверить проектирование и строительство больницы?

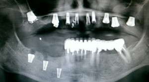
Цель имплантологического лечения — не воткнуть импланты так, чтобы они прижились, а создание надёжной и долговечной опоры под планируемую ортопедическую конструкцию.

Друзья, а чего это мы всё об имплантологии, да об имплантологии? Так можно подумать, что вся хирургия полости рта — это сплошная имплантология. На самом деле, конечно же нет, есть масса других интересных и актуальных тем.

Даты и места проведения следующих семинаров XiVE-Day

Друзья, огромное спасибо за Ваши вопросы и возражения, дельные мысли и советы. Очень надеюсь, что предоставленная мной информация была интересной и полезной.

Приглашаю всех желающих поучаствовать. Но есть требования!

Писал статью для пациентов, но получилась статья или для «продвинутых» пациентов, или для начинающих врачей. Прочитайте и определитесь, кто Вы))).

Очередное заседание будет посвящено прямым реставрациям и пройдет в сигарном клубе «Робусто».

У некоторых людей развивается не 32, как обычно, а 33 или 34 зуба. А иногда и больше. Такие «лишние» зубы называют сверхкомплектными и, если говорить честно, ничего кроме проблем они в себе не несут.

На заседании будет присутствовать Яна Акопян, стоматолог-ортодонт клиники «Канадская Стоматология», мой друг и коллега. Она расскажет о нашей совместной работе и о том, почему многим пациентам с длительным отсутствием зубов необходимо ортодонтическое лечение

Когда доктор говорит: «Нужно лечить тридцать шестой зуб», некоторые пациенты делают большие глаза: «Доктор, а разве у человека не тридцать два зуба?».

Нам в клинику «Немецкий Имплантологический Центр» требуется наикрутейший и офигенный врач-ортопед.

Сразу от нескольких человек поступила просьба рассказать о быстром, комфортном и малотравматичном удалении зубов.

В настоящий момент производители выпускают линейки имплантов, предназначенных для установки в лунку только что удаленного зуба. Они отличаются крупной агрессивной резьбой, назначение которой – обеспечить качественную стабилизацию импланта в условиях лунки только что удаленного зуба.

Идеальная имплантационная система с точки зрения имплантолога, ортопеда и пациента — где золотая середина?

А всё дело в том, что некоторые пациенты (и некоторые доктора) рассматривают импланты, установленные в костной ткани, именно как гвозди забитые в деревянную доску. Отсюда возникает ошибочное умозаключение — чем плотнее кость (дерево), тем лучше держится имплантат (гвоздь).

Заметку посвящаю одному деятелю с 20-летним стажем в имплантологии, солидным опытом преподавательской деятельности в каком-то медицинском вузе и обладателю кучи регалий, а также самому бесстрастному лектору одного корейского производителя имплантов.


…врач поставил мне два импланта и засыпал дополнительно материал белую крошку. На 4 день швы разошлись и весь материал сыпется мне в рот… Вопрос — что делать в данной ситуации? Удалять импланты и материал? Помогите советом…

… так сказала пациентка, когда мы делали ей фотографию. На протяжение всего лечения, как до операции, так и после , ее врачи были настроены крайне скептически. Никто не верил, что в данном случае немедленная имплантация возможна и,что с ее помощью, достижим приемлемый результат.

7 июня в конгресс-холле отеля Lotte прошла небольшая закрытая конференция по программе клинических исследований Mucograft, организованная компанией Geistlich и ее российским партнером, группой компаний «Симко».

Мы с вами неоднократно говорили о пломбах из амальгамы. Некоторые мои коллеги даже утверждали, что амальгама — чуть ли не идеальный пломбировочный материал.

Перикоронарит — это воспаление мягких тканей вокруг (коронки) прорезывающегося зуба. Перикоронарит может быть у любых зубов, в том числе и молочных — вспомните своих малышей и то, как у них прорезывались зубки, — это и есть перикоронарит.