
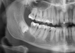
Не нужно расстраиваться! Базальная имплантация — это поправимо.
Опять возвращаюсь к теме базальной имплантации. Что это за метод, когда это спасение, а когда — аццкое зло — читайте в этой статье. Ну и, если вдруг базальная имплантация, проведенная вам, не оправдала надежд — не расстраивайтесь. Это поправимо.



























